Journal of Pediatric Cardiology and Cardiac Surgery

Online ISSN: 2433-1783 Print ISSN: 2433-2720
Japanese Society of Pediatric Cardiology and Cardiac Surgery
Japanese Society of Pediatric Cardiology and Cardiac Surgery Academy Center, 358-5 Yamabuki-cho, Shinju-ku, Tokyo 162-0801, Japan
Journal of Pediatric Cardiology and Cardiac Surgery 9(2): 145-149 (2025)
doi:10.24509/jpccs.24-014

Case ReportCase Report

Whole Circumferential Myocardial Calcification Around the Left Ventricle after Pediatric Open Heart Surgery

1Department of Pediatric Cardiac Surgery, Saitama Medical University International Medical Center ◇ Saitama, Japan

2Department of Pediatric Cardiology, Saitama Medical University International Medical Center ◇ Saitama, Japan

受付日:2024年7月1日Received: July 1, 2024
受理日:2024年12月10日Accepted: December 10, 2024
発行日:2025年7月31日Published: July 31, 2025
HTMLPDFEPUB3

Circumferential myocardial calcification within the left ventricular wall is rarely reported during the perioperative period of pediatric open heart surgery. This case report highlights a unique instance of whole circumferential myocardial calcification after surgery leading to fatal biventricular diastolic dysfunction. A 9-month-old female patient, diagnosed with type B interrupted aortic arch and 22q.11.2 microdeletion, underwent the Yasui operation following stage I hybrid palliation. Postoperatively, despite initial improvements, she developed lactic acidosis and peripheral edema, with catecholamines being unable to be discontinued. Serial imaging and cardiac catheter examinations revealed progressive whole circumferential myocardial calcification and worsening ventricular diastolic pressures. Surgical attempts to remediate these complications were unsuccessful, and the patient unfortunately succumbed shortly after the fourth intervention. Pathological examination revealed diffuse granular calcification deposits in the pericardium. Calcification was also observed in the submitted left ventricular myocardial tissue, with only a small amount of viable myocardial cells present. This case underscores the severity of myocardial calcification that can complicate the postoperative course in pediatric cardiac surgery, potentially leading to severe diastolic dysfunction and death. Early recognition and management would be critical, though effective treatment modalities need further exploration.

Key words: myocarditis; left ventricular calcification; pediatric cardiac surgery; Yasui operation; postoperative complications

Background

Circumferential calcification in the left ventricular myocardium is often described as a consequence of myocarditis.1–5) It has never been reported, on the other hand, that such calcification was seen during early perioperative period of pediatric open heart surgery. Herein we report a patient who underwent the Yasui operation in a stage way and then developed fatal biventricular diastolic dysfunction postoperatively. We retrospectively considered that left ventricular failure was due to whole circumferential myocardial calcification around the left ventricle.

Case Presentation

The patient was female, born at 38 gestational weeks with body weight of 2260 g. After birth, she was diagnosed with type B interrupted aortic arch, perimembranous type ventricular septal defect (VSD), small aortic valve annulus (aortic valve diameter Z-score of −3.5), persistent ductus arteriosus, patent foramen ovale, and 22q.11.2 microdeletion. She underwent hybrid stage I palliation consisting of bilateral pulmonary artery banding and ductal stenting at the age of 5 days. Cardiac catheter examination at the age of 5 months revealed that left and right ventricular end-diastolic volumes were 83% and 129% of anticipated normal values, respectively, and pulmonary-to-systemic blood flow ratio was 0.65 (Table 1). At 9 months old weighing 6.1 kg, she underwent the Yasui operation involving the Norwood-type arch reconstruction with glutaraldehyde treated autologous pericardial patch, and the Rastelli procedure consisting of creation of an interventricular tunnel from the left ventricle to the neo-aortic (morphologically pulmonary) valve via VSD and insertion of a right ventricle-to-pulmonary artery conduit with a 14 mm-diameter expanded polytetrafluoroethylene graft containing a handmade trileaflet valve. Cardiopulmonary bypass time during the Yasui operation was 564 minutes, and the aortic cross-clamp time was 158 minutes.

Table 1 Summary of cardiac catheterization data over the course of treatments
before Yasui op
(5 months old)
after Yasui op
(21 days after Yasui op)
after Yasui op takedown
(51 days after Yasui op)
Cardiac Index (L/min/m2)8.523.192.19
Qp/Qs0.652.11
LVEDV (% of normal)83111133
RVEDV (% of normal)129110181
LVEF (%)454623
RVEF (%)583629
SVCP (mmHg)41518
LVEDP (mmHg)71929
RVEDP (mmHg)71429
Mean PAP (mmHg)NA15NA
NA, not available; LVEDP, left ventricular end-diastolic pressure; LVEDV, left ventricular end-diastolic volume; LVEF, left ventricular ejection fraction; PAP, pulmonary arterial pressure; Qp/Qs, pulmonary-to-systemic blood flow ratio; RVEDP, right ventricular end-diastolic pressure; RVEDV, right ventricular end-diastolic volume; RVEF, right ventricular ejection fraction; SVCP, superior vena cava pressure; Yasui op, the Yasui operation

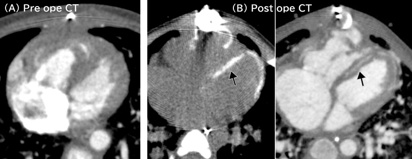
Acute postoperative course was unstable mainly due to right ventricular diastolic dysfunction. Central venous pressure, however, decreased from 20 mmHg to 13 mmHg, so that chest was closed 6 days later. Her hemodynamic condition gradually improved thereafter. We intended to arrange endotracheal extubation, but lactic acidosis and peripheral edema recurred. Cardiac computed tomography scanning at 16 days after the operation showed no aortic arch obstruction, no left ventricular outflow tract obstruction, mild stenoses of the bilateral branch pulmonary arteries, and circumferential myocardial calcification around the left ventricle (Fig. 1). Cardiac catheter examination at 21 days after the operation showed that left and right ventricular end-diastolic pressures were 19 mmHg and 14 mmHg, respectively (Table 1). Pulmonary-to-systemic blood flow ratio was 2.1 due to residual VSD. Therefore, removal of the intraventricular tunnel and downsizing of the right ventricle-to-pulmonary artery conduit were carried out on the day 33 after the Yasui operation. The chest was closed 3 days later when central venous pressure decreased to 10 mmHg. Since then, her hemodynamic condition had rather deteriorated. Cardiac catheter examination 18 days after the takedown revision revealed that both left and right ventricular end-diastolic pressures were equally 29 mmHg (Table 1).

Journal of Pediatric Cardiology and Cardiac Surgery 9(2): 145-149 (2025)

Fig. 1 Cardiac CT imaging. (A) Preoperative image shows no calcification in the myocardium. (B) Circumferential myocardial calcification was obvious within the left ventricular wall (indicated by black arrows) 16 days after the Yasui operation. Calcification is so extensive that the ventricle is most likely to have diastolic dysfunction.

Pre ope, before the Yasui operation; Post ope, after the Yasui operation

Twenty-two days after the revision, the right ventricle-to-pulmonary artery conduit was removed, and a systemic-to-pulmonary shunt was constructed with a 4 mm expanded polytetrafluoroethylene graft. We partially resected the calcified tissue within the left ventricular wall and submitted the specimen for histopathological examination (Fig. 2). Weaning off from cardiopulmonary bypass was unsuccessful in the operating theater, and the patient returned to the intensive care unit on extracorporeal membrane oxygenation support. The mechanical support was weaned off on the 13 days after the final surgical procedure, but she died 6 days later. Postmortem examination was declined.

Journal of Pediatric Cardiology and Cardiac Surgery 9(2): 145-149 (2025)

Fig. 2 Intraoperative finding during the fourth surgery. The right ventricle-to-pulmonary artery conduit was removed and a systemic-to-pulmonary shunt was constructed at the second revision (22 days after the previous takedown of the Yasui operation, 55 days after the initial Yasui operation). (A) The external appearance of the left ventricle exposed. The dotted line indicates the interventricular groove. (B) The calcified tissue within the left ventricular wall (white arrow) was partially resected and submitted for histopathological examination.

PA, pulmonary artery; RV, right ventricular

Pathological analysis revealed pathological changes in both myocardial and epicardial tissues (Fig. 3). The myocardium showed extensive calcification, confirmed by von Kossa staining as granular brown deposits throughout the tissue. H&E staining demonstrated widespread degenerative changes in cardiomyocytes with surrounding fibrosis, and scattered inflammatory cell infiltration was observed. Only a small amount of viable myocardial cells remained, indicating severe tissue damage.

Journal of Pediatric Cardiology and Cardiac Surgery 9(2): 145-149 (2025)

Fig. 3 Histopathological findings of the epicardial and myocardial tissues. (A) Low-power view of H&E staining showing extensive myocardial calcification with degenerated cardiomyocytes (×40). (B) High-power view of the boxed area in A demonstrating calcified myocardial tissue with inflammatory cell infiltration and fibrosis (×200). (C) Von Kossa staining of the myocardial tissue highlighting abundant calcium deposits (brown) (×200). (D) Low-power view of H&E staining showing diffuse calcification in the epicardial tissue (×40). (E) High-power view of the boxed area in D showing inflammatory infiltrates and fibrosis in the epicardial tissue (×200). (F) Von Kossa staining of the epicardial tissue demonstrating scattered calcium deposits (brown) (×200).

Scale bars=200 µm (A, D), 100 µm (B), and 50 µm (C, E, F).

The epicardial tissue also exhibited significant pathological changes. H&E staining revealed diffuse calcification accompanied by inflammatory cell infiltration and fibrosis. Von Kossa staining confirmed the presence of scattered calcium deposits in the epicardium, though less extensive compared to the myocardium. These findings suggest that the calcification process affected both tissue layers, contributing to the severe biventricular diastolic dysfunction observed clinically in this patient.

Discussion

A volume of the right ventricular cavity is often reducing in patients who are candidates for biventricular repair by means of the Rastelli procedure and have previously undergone palliative operations, due to decreased ventricular preload (related to the amount of pulmonary blood flow) and increased right ventricular hypertrophy. In fact, operative course during the acute phase in our patient was complicated by right ventricular diastolic dysfunction. We thought, therefore, hemodynamic instability around 2 weeks after the Yasui operation was derived from insufficient volume for effective right ventricular function. In this respect, we speculated that left ventricular diastolic dysfunction was secondary to residual VSD. We also suspected that placement of a large right ventricle-to-pulmonary artery conduit restricted right ventricular relaxation.

On the contrary, biventricular diastolic dysfunction did not improve after takedown surgery to previous shunt physiology. Rather, the second catheter examination confirmed further deterioration of biventricular diastolic function. We finally came to realize that the myocardial calcified layer within the left ventricular wall was responsible for the intractable circumstance. Right ventricular diastolic dysfunction was presumably caused by calcification within the interventricular septum.

We did not pay much attention to this calcification initially as quite serious. That is why takedown from the complete biventricular circulation to shunt physiology was selected. Entire removal of the calcification within the left ventricular wall appeared unfeasible. Instead of these, mechanical circulatory support until active myocarditis settles could have been an alternative treatment. Indeed, several previous reports described that late improvement of hemodynamic status was confirmed even though once whole circumferential calcification of the left ventricle occurred.1, 2, 6)

The reason why whole circumferential calcification progressed during the perioperative period in this infant is unclear. Although prolonged cardiopulmonary bypass triggers myocardial inflammatory change,7) the artificial circulation usually causes myocardial edema, not calcification. Cardiopulmonary bypass time during the Yasui operation was 564 minutes, and the aortic cross-clamp time was 158 minutes. Some articles discussed that the mechanism of calcification of the left ventricular myocardium would be a metabolic change.1, 2, 6–8) Although our patient had 22q11.2 microdeletion syndrome which was known to associate with hypoparathyroidism, serum calcium was adjusted to maintain the level within a range of 8.6–10.5 mg/dL (corresponding to the ionized calcium level of 1.05–1.31 mEq/L). We did not perform tests for hypoparathyroidism, but in our literature review we found no reports of myocardial calcification caused by excessive calcium supplementation in children with 22q11.2 deletion syndrome. No calcification was observed in any other areas besides the left ventricular myocardium.

As another potential reason for progressive calcification, we noted that she had experienced viral infection 1 month before the Yasui operation. No symptom, nonetheless, remained at the time of readmission for this operation.3)

Furthermore, existing literature provides crucial insights into the mechanisms of onset and progress of myocardial calcification. Particularly, progressive myocardial calcification following myocarditis may involve chronic inflammatory responses and cellular injury, which could be relevant in our case as well.3, 8) Additionally, myocardial ischemia and inflammatory responses associated with cardiopulmonary bypass are significant contributors to myocardial calcification, potentially accelerating myocardial apoptosis and fibrosis.5, 7) Still, it is unprecedented to recognize formation of extensive circumferential myocardial calcification or its rapid development during the early postoperative period as seen in our patient. No established treatments have been documented in the literature.

At first, we focused on diastolic dysfunction based on elevated end-diastolic pressures. We did not perform detailed echocardiographic studies of diastolic function over time. Our assessment mainly came from catheter data. The final catheterization showed both left and right ventricular end-diastolic volumes were much larger than those before surgery and ventricular ejection fractions were very low (Table 1). This suggests that the problem became more complex over time. We now do not consider that her hemodynamic deterioration can be explained by diastolic dysfunction alone. Seemingly the heart had both diastolic and systolic dysfunction in the end. The initial diastolic issues likely led to further complications affecting overall heart function.

Conclusion

In summary, whole circumferential myocardial calcification of the left ventricle occurred after the staged Yasui operation in an infant, which caused lethal biventricular diastolic dysfunction. Hemodynamic instability initially resembled right ventricular diastolic failure due to a small right ventricular cavity after complex biventricular repair. The etiology remained unclear. Takedown from complete biventricular circulation to single ventricular physiology was ineffective to improve overall hemodynamic status.

Funding

The author(s) received no financial support for the research, authorship, and/or publication of this article.

Conflicts of Interest

The authors declared no potential conflicts of interest with respect to the research, authorship, and/or publication of this article.

Consent for Publication

The patient’s parent permitted the use of her personal data for the development of medical science (27/03/2023).

Author Contribution

AH wrote the manuscript (original draft) and contributed to the creation of the figure and table. TH and TS supervised and authorized this study. TN, HN, YF and YI performed the surgery and/or perioperative patient management. All authors read and approved the manuscript.

引用文献References

1) Lippolis A, Buzzi MP, Romano IJ, et al: Stone heart: An unusual case of heart failure with preserved ejection fraction due to massive myocardial calcification. J Cardiol Cases 2021; 23: 145–148

2) Washino M, Tanaka T, Nakase Y, et al: A rare case of myocardial calcification secondary to acute myocarditis due to an Escherichia coli infection. Nagoya J Med Sci 2020; 82: 775–781

3) Wittekind SG, Allen CC, Jefferies JL, et al: Neonatal enterovirus myocarditis with severe dystrophic calcification: Novel treatment with pocapavir. J Investig Med High Impact Case Rep 2017; 5: 1–4

4) Galati G, Leone O, Pasquale F, et al: Histological and histometric characterization of myocardial fibrosis in end-stage hypertrophic cardiomyopathy: A clinical-pathological study of 30 explanted hearts. Circ Heart Fail 2016; 9: e003090

5) Aras D, Topaloglu S, Demirkan B, et al: Porcelain heart: A case of massive myocardial calcification. Int J Cardiovasc Imaging 2006; 22: 123–126

6) Sui M-L, Wu C-J, Yang Y-D, et al: Extensive myocardial calcification in critically ill patients receiving extracorporeal membrane oxygenation: A case report. World J Clin Cases 2022; 10: 4214–4219

7) Anselmi A, Abbate A, Girola F, et al: Myocardial ischemia, stunning, inflammation, and apoptosis during cardiac surgery: A review of evidence. Eur J Cardiothorac Surg 2004; 25: 304–311

8) Na J-Y: A heart of stone: An autopsy case of massive myocardial calcification. Forensic Sci Med Pathol 2018; 14: 102–105

This page was created on 2025-07-30T11:22:39.581+09:00
This page was last modified on 2025-11-11T09:58:01.000+09:00


このサイトは(株)国際文献社によって運用されています。