Journal of Pediatric Cardiology and Cardiac Surgery

Online ISSN: 2433-1783 Print ISSN: 2433-2720
Japanese Society of Pediatric Cardiology and Cardiac Surgery
Japanese Society of Pediatric Cardiology and Cardiac Surgery Academy Center, 358-5 Yamabuki-cho, Shinju-ku, Tokyo 162-0801, Japan
Journal of Pediatric Cardiology and Cardiac Surgery 8(2): 53-59 (2024)
doi:10.24509/jpccs.23-020

ReviewReview

Pathogenic Variants Associated with Cardiomyopathy in Pediatric Myocarditis as Outcome Predictors

1Deutsches Herzzentrum der Charité, Department of Congenital Heart Disease–Pediatric Cardiology ◇ Berlin, Germany

2Charité-Universitätsmedizin Berlin, corporate member of Freie Universität Berlin and Humboldt-Universität zu Berlin ◇ Charitéplatz 1, 10117 Berlin, Germany

3Experimental & Clinical Research Center, a cooperation between the Max-Delbrück-Center for Molecular Medicine in the Helmholtz Association & Charité-Universitätsmedizin Berlin ◇ Germany

4DZHK (German Centre for Cardiovascular Research), partner site Berlin ◇ Germany

5Center for Congenital Heart Disease/Pediatric Cardiology, Heart and Diabetes Center NRW, University Hospital of the Ruhr University Bochum, Medical Faculty OWL (University of Bielefeld) ◇ Germany

6Erich & Hanna Klessmann-Institute, Heart and Diabetescenter NRW, University Clinic of Ruhr University Bochum ◇ Bad Oeynhausen, Germany

7Deutsches Herzzentrum der Charité, Department of Cardiology, Angiology and Intensive Care Medicine ◇ Berlin, Germany

発行日:2024年7月1日Published: July 1, 2024
HTMLPDFEPUB3

Myocarditis in children and adolescents has different courses. Infants and young children suffer more frequently from severe heart failure. In adolescence, on the other hand, patients are more likely to present with chest pain and preserved cardiac function. At the same time, the recovery rate is significantly higher. The influence of disease-associated genetic variants in myocarditis is now widely recognized. Such variants are more common in younger children and in patients with severe heart failure and a phenotype of dilated cardiomyopathy. However, genetic changes have also been described in children with myocarditis and preserved cardiac function, particularly in desmosomal genes. These genetic variants are associated with an increased number of cardiovascular events. This review aims to provide an overview of the impact of genetic variants on the clinical presentation and outcome of pediatric myocarditis.

Key words: myocarditis; pediatric; genetic variants; cardiomyopathy; outcome

Introduction

Myocarditis is a disease with many different appearances. It can pass unnoticed or have a mild course or even lead to a serious course with severely impaired cardiac function and heart failure.1) In children, particularly severe courses occur in infants and young children. Adolescents tend to have milder courses of the disease, which has led to the hypothesis of different pathomechanism in the different age groups.2) In addition to age-related differences in immunological response, genetic variants in cardiomyopathy genes are currently being discussed.3, 4) These could be a cause of severe heart failure with impaired function and the phenotype of dilated cardiomyopathy (DCM) in children with myocarditis. However, it is unclear whether these children already had a DCM phenotype prior to the initial presentation and whether an additional infection led to a further deterioration of the condition. Another hypothesis is that the clinical picture of the DCM phenotype only becomes apparent after an infection. The presence of genetic variants in cardiomyopathy genes, however, may then lead to the severe phenotype.5, 6) Little is known about the outcome of children and adolescents with myocarditis in the presence of genetic variants in cardiomyopathy genes. The aim of this review is to provide an overview of the presence of these genetic variants in pediatric myocarditis and their impact on clinical presentation and phenotypes. Whereas myocarditis is defined according to the available histologic, immunologic and immunhistochemic criteria.7) In addition, the impact of the genetic predisposition on the outcome of the disease is highlighted. These findings could improve risk prediction and may influence subsequent therapy management in the context of listing for heart transplantation or weaning from mechanical circulatory support systems. The prospective multicenter registry for children and adolescents with suspected myocarditis “MYKKE” aims to investigate pediatric myocarditis and its course as well as to identify different pathomechanisms. Previously published data on genetic findings of myocarditis patients within the “MYKKE” registry serve as the basis for this review.2, 3, 8)

Heterogeneous Clinical Presentation of Pediatric Myocarditis

As mentioned above, pediatric myocarditis manifests with varying symptoms and ranges from severe heart failure to a mild disease course with rapid resolution of symptoms. The often non-specific symptoms and their diversity frequently cause a delay in diagnosis.9) The age distribution of pediatric myocarditis reveals two distinct peaks: infancy and adolescence.10, 11) This is accompanied by differences in the clinical presentation. In the multicenter registry “MYKKE”, patients<2 years of age were more likely to have severe left-ventricular impairment and cardiac adverse events like need for mechanical circulatory support and death, with an even sex distribution in this age group (Figs. 1 and 2). This cohort presents with a heart failure-like myocarditis. The probability of severe disease progression declines with age by 14% a year.2, 3, 12) Nearly half of the children with impaired function at initial presentation do not recover fully.13) Another large multicenter study found that moderate to severe ventricular dysfunction was associated with young age, female sex and the presence of respiratory distress and gastrointestinal symptoms (including nausea, emesis, diarrhea, poor appetite).10) The presence of unspecific gastrointestinal symptoms such as emesis and abdominal pain may delay diagnosis of myocarditis in younger children.14) A Japanese survey study found that in pediatric patients with acute and fulminant myocarditis, gastrointestinal symptoms were even more common than cardiorespiratory symptoms at the onset of the disease.15)

Journal of Pediatric Cardiology and Cardiac Surgery 8(2): 53-59 (2024)

Fig. 1 Transthoracic echocardiography in chronic lymphocytic myocarditis with the phenotype of dilated cardiomyopathy and acute heart failure

A. Transthoracic echocardiography with 4 chamber view in a 1 month old child with myocarditis and phenotype of dilative cardiomyopathy (Left ventricular (LV) ejection fraction 38%, LV diameter 26 mm (Z-Score +3,5); B. short axis view. The endomyocardial biopsy revealed a virus negative chronic lymphocytic myocarditis. Genetic panel diagnostic reveals no pathological result, but WES was currently not performed. LA, left atrium; LV, left ventricular; RA, right atrium; RV, right ventricular

Journal of Pediatric Cardiology and Cardiac Surgery 8(2): 53-59 (2024)

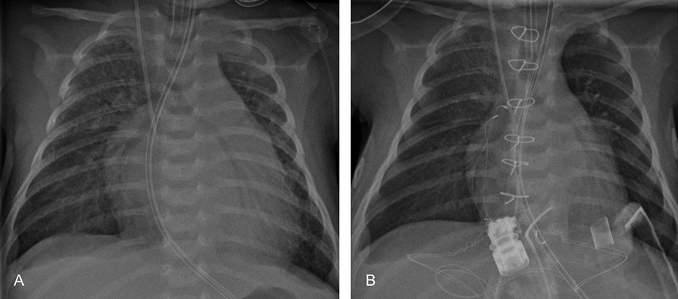
Fig. 2 X-ray in a child (1 month) with chronic lymphatic myocarditis with the phenotype of dilated cardiomyopathy and acute heart failure

A. X-ray with enlarged heart and with pulmonic congestion prior (acute heart failure) and B. post implantation of a left ventricular assist device (LVAD, Berlin Heart EXCOR® 10cc) with reduced heart size and congestion. The endomyocardial biopsy revealed a virus negative chronic lymphocytic myocarditis. This is showing the acute therapeutic effect of VAD therapy in order to complete diagnostic workup.

In contrast to that, myocarditis in adolescent’s manifests most often with chest pain or acute coronary syndrome-like symptoms. Chest pain was the most common symptom in adolescent patients with preserved or mildly reduced ventricular function.10, 16) Among the adolescents diagnosed with myocarditis, males account for about two-thirds of patients.2) This is consistent with findings of myocarditis in adults, which thus might share similar pathophysiologic mechanisms.17–19)

In the sub-study of the “MYKKE” registry, patients with myocarditis and DCM phenotype with 35% disease-associated genes had a significantly worse event-free survival compared to the group without DCM phenotype, but also compared to a group of children with DCM and no evidence of inflammation. In addition to the genetic background, myocardial inflammation appeared to be an important factor influencing the outcome.3)

Genetic Predisposition in Pediatric Myocarditis

It has been shown that there is an influence of genetic variants in the context of myocarditis.1) The proportion of myocarditis patients with pathogenic variants ranges from 8 to 16% in larger adult cohorts.20, 21) However, the number of pathogenic variants detected increases significantly to 33% with the severity of the myocarditis.22) These are particularly cardiomyopathy-associated genes that affect the sarcomere and desmosome. In addition to the phenotype of DCM, arrhythmogenic right ventricular cardiomyopathy (ARVC) with the occurrence of malignant cardiac arrhythmias also plays a major role in myocarditis, with ARVC being more frequently associated with variants in desmosomal genes.23–25)

The number of cases for genetic variants in children and adolescents with myocarditis is limited (Table 1). Small cohorts show varying frequencies, but again depending on the severity of the disease. Among a cohort of eight children, all of whom were treated for acute heart failure or cardiac arrest at a pediatric intensive care unit, likely pathogenic or pathogenic variants were found in seven of these children. Half of these children were under one year of age. The identified cardiomyopathy-associated variants included titin (TTN, n=2); myosin binding protein C3 (MYBPC3, n=1); Troponin T2 (TNNT2, n=1) and sodium voltage-gated channel alpha subunit 5 (SCN5A, n=1). Two patients had genetically confirmed underlying syndromic diseases (Alström and Hurler syndrome).26) In contrast, in another cohort of seven children with genetic testing and an initial diagnosis of myocarditis, only one single pathogenic variant was found in the Lamin A (LMNA) gene.27) Further, genetic variants in three out of 13 children (23%) with acute myocarditis are reported, with two cases exhibiting multiallelic variants.21)

Table 1 Genetic characterization of pediatric patients with myocarditis
AuthorsYear of publicationPatient characteristics (age, sex)Sample sizeGenotypeCardiac phenotypeMyocarditis type
Brown EE et al.26)201950%<1 y (range 3 weeks to 14 y) 88% female8TTN n=2;
TNNT2 n=1;
MYBPC3 n=1;
SCN5A n=1;
Syndromic disease n=2 (Alström & Hurler syndrome)
Acute heart failure with reduced LVEF, LV dilatationSuspected myocarditis at time of presentation
Kontorovich AR et al.21)2021Age<20 y13*Pt 1 (13 y, female): multiallelic TTN
Pt 2 (0.6 y, female): PRDM, DSP, DNM2, DMD (multiallelic)
Pt 3 (19 y, female): DSP
No in depth-characterizationAcute myocarditis with histological evidence
Seidel F et al.3)2017MYC-DCM (n=20): median age 1.4 y; 55% male
MYC-NonDCM (n=22): median age 16 y; 64% male
4222% with LP/P variants:
MYC-DCM (35%, n=7):
BAG3 n=2
LMNA n=1
MYH7 n=1
TNNI3 n=1
TNNT2 n=1
TTN n=1
MYC-NonDCM (9%, n=2):
DSP n=2
MYC-DCM: Acute heart failure with reduced LVEF (median 22%), LV dilatation
MYC-NonDCM: chest pain, arrhythmias, preserved LVEF (median 59%)
Myocarditis with histological evidence (acute or chronic/healing)
Ammirati E et al.24)2022Median age 15.5 y; 90% male (n=9)10*DSP n=8
DSG2 n=1
PKP2 n=1
Chest pain, palpitations, elevated serum troponins, preserved LVEFAcute myocarditis with evidence in biopsy and/or cardiac MRI
van der Meulen MH et al.27)2022Age<18 y, no further details available7*LMNA n=1Acute heart failure with reduced LVEF, LV dilatationDefinite or probable myocarditis
BAG3, BAG cochaperone 3; DMD, duchenne muscular dystrophy; DNM2, dynamin 2; DSG2, desmoglein 2; DSP, desmoplakin; LMNA, lamin A; LV, left ventricular; LVEF, LV ejection fraction; MRI, magnetic resonance imaging; MYBPC3, myosin binding protein C3; MYH7, myosin heavy chain 7; PKP2, plakophilin 2; RYR2, ryanodine receptor 2; SCN5A, sodium voltage-gated channel alpha subunit 5; TNNC1, troponin C1; TNNI3, troponin I3; TNNT2, Troponin T2; TTN, titin. * Sample size indicated represents only a sub-cohort in the study, therefore some detailed information on age or sex may not be available.

In contrast, Ammirati et al. reported 10 children with acute myocarditis and genetic variants in desmosomal genes (desmoplakin (DSP) n=8; plakophilin 2 (PKP2) and desmoglein 2 (DSG2), n=1 respectively), with only one child having a reduced left ventricular ejection fraction (LVEF) of 43%, the others had a preserved LVEF. All had chest pain; four also had palpitations, one a syncope and one presented with additional dyspnea. Cardiac arrhythmia like ventricular tachycardia (VT) was reported in one patient. This group of patients can be clinically classified as having chest pain-like myocarditis, not only due to the described symptoms, but also based on the patients’ ages of 10–17 years. In addition, recurrent myocarditis, a positive family history for myocarditis and distinctive patterns in late enhancement sequences on magnetic resonance imaging with septal enhancement and a ring-like pattern as well as non-sustained VT were found more frequently in the entire presented cohort with pathogenic desmosomal gene variants compared to patients without desmosomal gene variants.24) A sub-study of the “MYKKE” registry examined 42 patients with biopsy-confirmed myocarditis by targeted panel sequencing for cardiomyopathy-associated genes. Likely pathogenic and pathogenic genes were found in nine children (22%). However, they were significantly more frequent in children with the DCM phenotype (MYC-DCM, n=20), who again belonged to the heart failure-like myocarditis group with a median age of 1.4 years. They were compared to a group without DCM phenotype (MYC-NonDCM, n=22) with a median age of 16.1 years. In contrast, the latter group presented with chest pain and ST-segment elevation on electrocardiogram, which once again places them in the chest pain-like myocarditis cohort. Overall, disease-associated variants were identified in seven out of 20 children in the MYC-DCM cohort (35%). These were variants in the genes BAG cochaperone 3 BAG3 (n=2), LMNA, myosin heavy chain 7 (MYH7), troponin I3 (TNNI3), TNNT2 and TTN (n=1, respectively). In two of the patients from the MYC-NonDCM cohort, however, DSP was identified as the disease-associated variant.3)

In a second study, in addition to cardiomyopathy-associated genes, immune disorder genes were examined in 12 children with severe courses of myocarditis and their families. Cardiomyopathy-associated variants were found in the majority (8/12 patients, 67%) of these children. Looking at the immune disorder genes, likely pathogenic variants were also found in three patients (dynein axonemal heavy chain 11 (DNAH11), FA complementation group C (FANCC), and sperm-associated antigen 1 (SPAG1)). Overall, variants in genes associated with ciliary transport were frequently present. The impact of this on the progression of myocarditis is unclear and requires further exploration.8)

In summary, these results highlight clear clinical and genetic differences in children and adolescents with cardiomyopathy-associated genetic variants and myocarditis (Fig. 3). Overall, infants or young children with heart failure-like myocarditis are more likely to have alterations in sarcomere genes, whereas adolescents with chest pain-like myocarditis and preserved cardiac function are more likely to have genetic variants in desmosomal genes (Fig. 4).

Journal of Pediatric Cardiology and Cardiac Surgery 8(2): 53-59 (2024)

Fig. 3 Relationship of clinical and genetic findings in pediatric myocarditis

Pathogenic genetic variants were found in all entities of pediatric myocarditis. Children with heart failure-like myocarditis tended to be younger and are more likely to have disease-associated variants in sarcomere genes, while in adolescents with chest pain-like myocarditis desmosomal gene variants have been identified.

Journal of Pediatric Cardiology and Cardiac Surgery 8(2): 53-59 (2024)

Fig. 4 Overview of gene distribution in pediatric myocarditis

Variants in sarcomer genes were detected in 46% (n=15) of pediatric myocarditis patients, compared to desmosomal genes in 36% (n=12) and others in 18% (n=6).3, 8, 21, 24, 26, 27) BAG3, BAG cochaperone 3; DSG2, desmoglein 2; DSP, desmoplakin; LMNA, lamin A; MYBPC3, myosin binding protein C3; MYH7, myosin heavy chain 7; PKP2, plakophilin 2; RYR2, ryanodine receptor 2; SCN5A, sodium voltage-gated channel alpha subunit 5; TNNC1, troponin C1; TNNI3, troponin I3; TNNT2, Troponin T2; TTN, titin.

Outcome of Patients with Pediatric Myocarditis and Genetic Background

A remarkable number of pediatric patients with myocarditis requires heart transplantation (17–19%) and the overall mortality in pediatric myocarditis lies around 6%.28) As mentioned earlier, data show that there is an accumulation of genetic variants in severe disease courses.3)

In a pediatric DCM cohort, younger children with likely pathogenic or pathogenic variants were significantly more likely to undergo heart transplantation or decease.27) However, in a mixed cohort of children and adults, no significant difference in clinical outcome was found between patients with and without detected genetic variants. The two children mentioned there with multiallelic genetic cardiomyopathy-associated variants and myocarditis underwent left ventricular assist device implantation and heart transplantation.21)

A similar outcome was found in the eight patients from the Brown et al. cohort. Those with evidence of genetic variants did not show recovery, instead two children died and five other children needed heart transplantation or were listed for transplantation.26)

With regard to desmosomal genes in acute myocarditis and preserved myocardial function of the chest pain-like type myocarditis, it is shown that the incidence of death, heart failure, ventricular tachycardia and myocarditis recurrence is significantly increased in patients with detected variants in desmosomal genes compared to patients without variant detection and to patients without genetic testing at all.24)

Conclusion

Especially in children with severe courses of myocarditis, there is an accumulation of genetic variants in cardiomyopathy-associated genes. This particularly affects infants and young children and children with impaired cardiac function. These conditions can be described as heart failure-like myocarditis. The genes identified relate in particular to sarcomere genes. In contrast, adolescents with preserved function and acute myocarditis tend to have pathogenic variants in desmosomal genes, which also exhibited more cardiovascular events. Thus, clinical presentation suggests genetic variants in pediatric myocarditis that may affect clinical decision and outcome and underscores the importance of genetic testing in pediatric myocarditis.

謝辞Acknowledgments

Genetic data from the MYKKE registry were interpreted by the AG Klaassen at the Experimental and Clinical Research Center, A Cooperation between the Max-Delbrück-Center for Molecular Medicine in the Helmholtz Association and the Charité-Universitätsmedizin Berlin. Special thank here to Sabine Klaassen, Jirko Kühnisch and Josephine Dartsch.

We thank the National Register for Congenital Heart Defects, Germany for support of the infrastructure of MYKKE and the Biobank ZeBANC at Charité for sample preparation.

Funding

Since 2017 the MYKKE registry is supported by kinderherzen-Fördergemeinschaft Deutsche Kinderherzzentren e.V. (Bonn, Germany). Parts of the registry were funded by a research grant from the Berliner Sparkassen Stiftung Medizin since 2019. Logistic support and management of the research database are provided by the Competence Network for Congenital Heart Defects (Berlin, Germany) and the National Registry for Congenital Heart Defects (Berlin, Germany), which both received funding from the Federal Ministry of Education and Research, grant number 01GI0601 and 01KX2140.

Conflicts of Interest

The authors have nothing to disclose in relation to this project.

Author Contribution

Conceptualization, F.S., H.M. and S.S.; methodology, F.S., D.M., H.M. and S.S.; formal analysis, F.S., and N.R.; investigation, F.S., N.R., T.H., J.H., H.M. and S.S.; resources, F.S., N.R., T.H, J.H., H.M., D.M. and S.S.; writing—original draft preparation, F.S., N.R. and S.S.; writing—review and T.H., J.H., H.M. and D.M.; funding acquisition, F.S., H.M., D.M. and S.S.

引用文献References

1) Basso C: Myocarditis. N Engl J Med 2022; 387: 1488–1500

2) Messroghli DR, Pickardt T, Fischer M, et al: MYKKE Consortium: Toward evidence-based diagnosis of myocarditis in children and adolescents: Rationale, design, and first baseline data of MYKKE, a multicenter registry and study platform. Am Heart J 2017; 187: 133–144

3) Seidel F, Holtgrewe M, Al-Wakeel-Marquard N, et al: Pathogenic variants associated with dilated cardiomyopathy predict outcome in pediatric myocarditis. Circ Genom Precis Med 2021; 14: e003250

4) Arbelo E, Protonotarios A, Gimeno JR, et al: ESC Scientific Document Group: 2023 ESC Guidelines for the management of cardiomyopathies. Eur Heart J 2023; 44: 3503–3626

5) Belkaya S, Kontorovich AR, Byun M, et al: Autosomal recessive cardiomyopathy presenting as acute myocarditis. J Am Coll Cardiol 2017; 69: 1653–1665

6) Campuzano O, Fernandez-Falgueras A, Sarquella-Brugada G, et al: A genetically vulnerable myocardium may predispose to myocarditis. J Am Coll Cardiol 2015; 66: 2913–2914

7) Caforio AL, Pankuweit S, Arbustini E, et al: European Society of Cardiology Working Group on Myocardial and Pericardial Diseases: Current state of knowledge on aetiology, diagnosis, management, and therapy of myocarditis: A position statement of the European Society of Cardiology Working Group on Myocardial and Pericardial Diseases. Eur Heart J 2013; 34: 2636–2648, 2648a–2648d

8) Seidel F, Laser KT, Klingel K, et al: Pathogenic variants in cardiomyopathy disorder genes underlie pediatric myocarditis-further impact of heterozygous immune disorder gene variants? J Cardiovasc Dev Dis 2022; 9: 216

9) Durani Y, Egan M, Baffa J, et al: Pediatric myocarditis: Presenting clinical characteristics. Am J Emerg Med 2009; 27: 942–947

10) Butts RJ, Boyle GJ, Deshpande SR, et al: Characteristics of clinically diagnosed pediatric myocarditis in a contemporary multi-center cohort. Pediatr Cardiol 2017; 38: 1175–1182

11) Ghelani SJ, Spaeder MC, Pastor W, et al: Demographics, trends, and outcomes in pediatric acute myocarditis in the United States, 2006 to 2011. Circ Cardiovasc Qual Outcomes 2012; 5: 622–627

12) Schubert S, Opgen-Rhein B, Boehne M, et al: MYKKE consortium: Severe heart failure and the need for mechanical circulatory support and heart transplantation in pediatric patients with myocarditis: Results from the prospective multicenter registry “MYKKE”. Pediatr Transplant 2019; 23: e13548

13) Foerster SR, Canter CE, Cinar A, et al: Ventricular remodeling and survival are more favorable for myocarditis than for idiopathic dilated cardiomyopathy in childhood: An outcomes study from the Pediatric Cardiomyopathy Registry. Circ Heart Fail 2010; 3: 689–697

14) Chang YJ, Chao HC, Hsia SH, et al: Myocarditis presenting as gastritis in children. Pediatr Emerg Care 2006; 22: 439–440

15) Saji T, Matsuura H, Hasegawa K, et al: Comparison of the clinical presentation, treatment, and outcome of fulminant and acute myocarditis in children. Circ J 2012; 76: 1222–1228

16) Rodriguez-Gonzalez M, Sanchez-Codez MI, Lubian-Gutierrez M, et al: Clinical presentation and early predictors for poor outcomes in pediatric myocarditis: A retrospective study. World J Clin Cases 2019; 7: 548–561

17) Ammirati E, Frigerio M, Adler ED, et al: Management of acute myocarditis and chronic inflammatory cardiomyopathy: An expert consensus document. Circ Heart Fail 2020; 13: e007405

18) Abe T, Tsuda E, Miyazaki A, et al: Clinical characteristics and long-term outcome of acute myocarditis in children. Heart Vessels 2013; 28: 632–638

19) Miyake CY, Teele SA, Chen L, et al: In-hospital arrhythmia development and outcomes in pediatric patients with acute myocarditis. Am J Cardiol 2014; 113: 535–540

20) Lota AS, Hazebroek MR, Theotokis P, et al: Genetic architecture of acute myocarditis and the overlap with inherited cardiomyopathy. Circulation 2022; 146: 1123–1134

21) Kontorovich AR, Patel N, Moscati A, et al: Myopathic cardiac genotypes increase risk for myocarditis. JACC Basic Transl Sci 2021; 6: 584–592

22) Tiron C, Campuzano O, Fernandez-Falgueras A, et al: Prevalence of pathogenic variants in cardiomyopathy-associated genes in myocarditis. Circ Genom Precis Med 2022; 15: e003408

23) Ader F, Surget E, Charron P, et al: Inherited cardiomyopathies revealed by clinically suspected myocarditis: Highlights from genetic testing. Circ Genom Precis Med 2020; 13: e002744

24) Ammirati E, Raimondi F, Piriou N, et al: Acute myocarditis associated with desmosomal gene variants. JACC Heart Fail 2022; 10: 714–727

25) Poller W, Haas J, Klingel K, et al: Familial recurrent myocarditis triggered by exercise in patients with a truncating variant of the desmoplakin gene. J Am Heart Assoc 2020; 9: e015289

26) Brown EE, McMilllan KN, Halushka MK, et al: Genetic aetiologies should be considered in paediatric cases of acute heart failure presumed to be myocarditis. Cardiol Young 2019; 29: 917–921

27) van der Meulen MH, Herkert JC, den Boer SL, et al: Genetic evaluation of a nation-wide Dutch Pediatric DCM Cohort: The use of genetic testing in risk stratification. Circ Genom Precis Med 2022; 15: e002981

28) Law YM, Lal AK, Chen S, et al: American Heart Association Pediatric Heart Failure and Transplantation Committee of the Council on Lifelong Congenital Heart Disease and Heart Health in the Young and Stroke Council: Diagnosis and management of myocarditis in children: A Scientific Statement from the American Heart Association. Circulation 2021; 144: e123–e135

This page was created on 2024-06-10T09:39:23.411+09:00
This page was last modified on 2024-07-19T14:56:20.000+09:00


このサイトは(株)国際文献社によって運用されています。