Journal of Pediatric Cardiology and Cardiac Surgery

Online ISSN: 2433-1783 Print ISSN: 2433-2720
Japanese Society of Pediatric Cardiology and Cardiac Surgery
Japanese Society of Pediatric Cardiology and Cardiac Surgery Academy Center, 358-5 Yamabuki-cho, Shinju-ku, Tokyo 162-0801, Japan
Journal of Pediatric Cardiology and Cardiac Surgery 8(2): 87-91 (2024)
doi:10.24509/jpccs.23-013

Case ReportCase Report

An Unusual Form of Anomalous Origin of the Right Pulmonary Artery from the Ascending Aorta, or Aorto-Pulmonary Window?

1Department of Cardiovascular Surgery, Hyogo Prefectural Amagasaki General Medical Center ◇ Hyogo, Japan

2Department of Pediatric Cardiology, Hyogo Prefectural Amagasaki General Medical Center ◇ Hyogo, Japan

受付日:2023年7月12日Received: July 12, 2023
受理日:2023年12月26日Accepted: December 26, 2023
発行日:2024年7月1日Published: July 1, 2024
HTMLPDFEPUB3

Anomalous origin of the right pulmonary artery from the ascending aorta is characterized by the right pulmonary artery arising from the right or posterior aspect of the ascending aorta. The anomalous right pulmonary artery is seldom connected to the pulmonary trunk. A premature baby was diagnosed with this malformation. The right pulmonary artery arose from the left aspect of the ascending aorta and additionally communicated with the pulmonary trunk via a small lumen just distal to its aortic origin. She underwent reimplantation of the right pulmonary artery to the pulmonary trunk at 13 days old. She remained asymptomatic at five years postoperatively. There were only three cases reported describing continuous tissues between the right pulmonary artery and the pulmonary trunk. In embryogenesis, imbalanced and incomplete septation of the aortic sac may result in this rare circumstance.

Key words: anomalous origin of the right pulmonary artery; premature; hemitruncus; congenital heart disease

Introduction

Anomalous origin of a unilateral pulmonary artery from the ascending aorta (AAo) is a rare congenital malformation, which is characterized by the right or the left pulmonary artery originating from the AAo with separate semilunar valves. The contralateral pulmonary artery is normally connected to the pulmonary trunk (PT) arising from the right ventricle. It accounts for 0.1% of all congenital heart diseases.1) The anomalous pulmonary artery is more frequently on the right than left.1, 2) The anomalous pulmonary artery does not usually have a direct connection to the PT. Only three cases have been reported with continuity between the anomalous right pulmonary artery (RPA) and the PT.3–5) Their morphological diagnosis is still controversial, whether anomalous origin of the RPA from the AAo (AORPA) or aorto-pulmonary window (APW).6) We herein report a premature baby with AORPA or APW whose RPA communicating with the PT via a small lumen.

Case Presentation

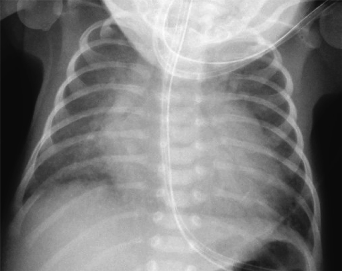
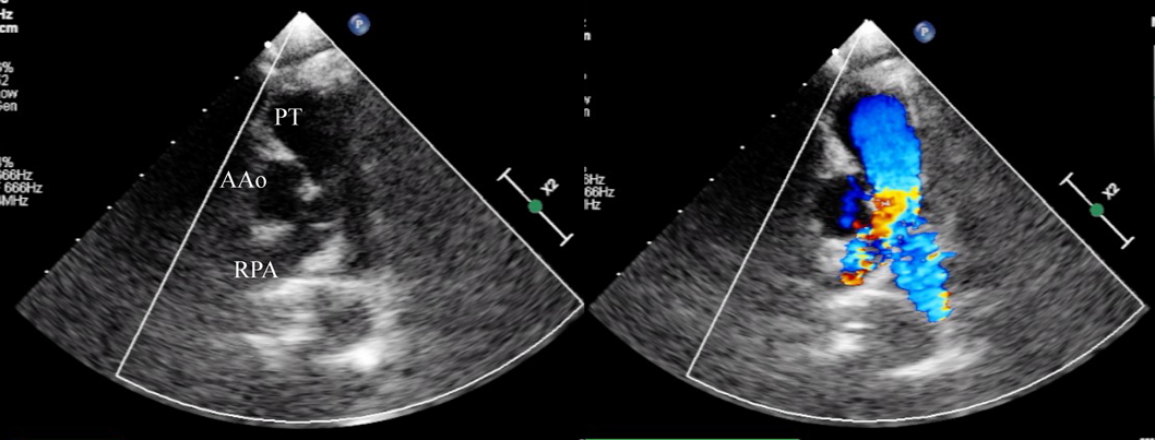
A female baby was delivered by an emergent cesarean section secondary to fetal bradycardia at a gestation of 33 weeks and 4 days. She weighed 1,700 g, and was eventually referred to our hospital at 12 days old. During pregnancy, her mother was doing well without detection of any congenital anomaly including heart disease on routine fetal ultrasonograms. She had no family history regarding congenital heart disease. She was suffering from progressive respiratory distress and congestive heart failure. Levine 2/6 continuous murmur was heard at the left sternal border of the second intercostal space. Her heart rate, respiratory rate and blood pressure were 164 beats/min, 70 breaths/min and 60/30 mmHg, respectively. Oxygen saturation was 99% on room air. Chest X-ray showed cardiomegaly with right pulmonary plethora (Fig. 1). An electrocardiogram showed biatrial overload. Her serum B-type natriuretic peptide level was 3,383 pg/mL. The RPA originated from the left posterior aspect of the proximal AAo. The orifice of the RPA at the proximal AAo was 5.0 mm. Moreover, the RPA was connected to the PT via a 2.0 mm-diameter lumen at the intrapericardial portion adjacent to its aortic origin. She was diagnosed as having AORPA, left aortic arch, patent ductus arteriosus bridging normally between the aortic arch and the PT, and patent fossa ovale by transthoracic echocardiography and computed tomography (Figs. 2, 3). Nitrogen inhalation therapy was started to treat high pulmonary flow.

Journal of Pediatric Cardiology and Cardiac Surgery 8(2): 87-91 (2024)

Fig. 1 Preoperative chest X-ray showed cardiomegaly and right pulmonary plethora

Journal of Pediatric Cardiology and Cardiac Surgery 8(2): 87-91 (2024)

Fig. 2 Preoperative echocardiogram showed that the RPA arose from the left aspect of the AAo and connected to the PT via a small lumen (white arrow)

AAo, ascending aorta; PT, pulmonary trunk; RPA, right pulmonary artery

Journal of Pediatric Cardiology and Cardiac Surgery 8(2): 87-91 (2024)

Fig. 3 Preoperative computed tomography

Axial views (A, B), and an anterior (C) and a posterior views (D) on three-dimensional computed tomography. The RPA originated from the proximal AAo (A and D, blue arrows and white arrowheads, respectively) and had a connection to the PT just distal to the origin of the RPA (B and C, yellow and white arrows, respectively). The orifice of the RPA at the proximal AAo was much greater than the small channel between the RPA and the PT. AAo, ascending aorta; PDA, patent ductus arteriosus; PT, pulmonary trunk; RPA, right pulmonary artery

Surgical treatment was performed at 13 days of age. The heart was exposed through a median full sternotomy. The RPA originated from the left posterior aspect of the AAo just above the sinus of Valsalva, and was connected to the PT (Fig. 4) as shown preoperatively. The RPA was dissected and snared between the superior vena cava and the AAo. Cardiopulmonary bypass was established via cannulations into the distal AAo and the right atrium. The patent ductus arteriosus was ligated and divided. The connection between the RPA and the PT was 3 mm in external diameter. After cardioplegic arrest, the RPA was detached from the AAo and the PT. The incised wall of the AAo was directly oversewn. The RPA was reimplanted to the PT, also directly, using 7-0 Prolene® (Johnson & Johnson Services, Inc., New Brunswick, New Jersey, USA) running suture. Weaning from cardiopulmonary bypass was smooth. Cardiopulmonary bypass time and aortic cross-clamp time were 89 and 35 minutes, respectively. Pulmonary arterial and aortic pressure was 26/18 (22) and 85/49 (63) mm Hg, respectively. Primary sternal closure was achieved. The postoperative course was uneventful. She was discharged on the postoperative day 39 (body weight of 2,146 g). She is asymptomatic with normal growth. The RPA showed no stenosis or deformity at five years postoperatively (Fig. 5).

Journal of Pediatric Cardiology and Cardiac Surgery 8(2): 87-91 (2024)

Fig. 4 An intraoperative picture. The RPA was connected to the PT (yellow arrow)

AAo, ascending aorta; PT, pulmonary trunk; RPA, right pulmonary artery

Journal of Pediatric Cardiology and Cardiac Surgery 8(2): 87-91 (2024)

Fig. 5 Echocardiography five years postoperatively. No pulmonary arterial stenosis is seen.

AAo, ascending aorta; PT, pulmonary trunk; RPA, right pulmonary artery

Discussion

AORPA has two patterns morphologically: the proximal and the distal types.1, 2) The former is characterized by an anomalous RPA that usually arises from the posterior or right lateral aspect of the AAo close to the aortic valve. Its orifice is widely open in the majority. As for the distal type, the morphological feature is the anomalous RPA usually originating from the AAo close to the brachiocephalic artery, or much less frequently from the brachiocephalic artery. Its orifice is likely surrounded by a ductal tissue, and becomes stenotic in many instances.1) AORPA is often associated with patent ductus arteriosus, bridging between the aortic arch and the PT as usual. Occasionally, an aortopulmonary septal defect or interrupted aortic arch coexists.

In embryogenesis, the AAo and the PT separate from the initial aortic sac. Also, the right sixth pharyngeal arch migrates leftward and fuses to the left sixth pharyngeal arch, forming the distal part of the PT. It is hypothesized that the proximal type of AORPA is a result of insufficient leftward migration of the right sixth arch and imbalanced septation of the aortic sac.7) The RPA is rarely in continuity with the PT. To the best of our knowledge, only three reports have described continuity between the RPA and the PT.3–5) These cases did not have luminal continuity. Our case had communication through a small lumen between the RPA and the PT, which has never been reported. The proximal RPA was clearly identified as seen in the previous cases.3–5) The orifice of the RPA at the proximal AAo was much greater than the additional channel between the RPA and the PT. We diagnosed her malformation, therefore, as unusual form of AORPA. An alternative diagnosis may be AORPA together with APW. Ho et al. reported that these abnormalities can coexist.6) The present case can sit within this spectrum of morphological variations. Somebody would argue that the diagnostic entity remains controversial. We contemplate that imbalanced and incomplete septation of the aortic sac could have resulted in the unusual pathway between the RPA and the PT.5)

Congestive heart failure with high pulmonary flow usually progresses rapidly in patients with the proximal type of AORPA. Severe pulmonary hypertension and pulmonary vascular obstructive disease also develop early in life.8) In this respect, early surgical repair is pertinent, even during the neonatal period.2) The result of palliative surgery was disappointing.2) Direct anastomosis of the RPA to the PT is recommended as far as feasible.2, 9, 10) Nonetheless, the distance between the mobilized RPA and the PT varied. Stretching and/or kinking of the reconstructed RPA should be avoided in terms of future stenosis. When direct reimplantation was unapplicable, some surgical techniques have been described, such as use of a flap of the aortic or the pulmonary arterial wall and graft interposition.10, 11) In our patient, the RPA had particular features; originating from the left posterior aspect of the proximal AAo and being unusually connected to the PT. Thanks to these, the RPA could be directly reimplanted to the PT without causing stenosis.

In conclusion, we encountered a premature girl, weighing 1,700 g, who had an unusual form of AORPA. The RPA communicated with the PT via a small lumen. Direct reimplantation to the PT was successfully established. She remained asymptomatic with no RPA stenosis in the longer term at five years postoperatively.

Funding

None.

Conflicts of Interest

The authors declare that they have no competing interests.

Author Contribution

TM contributed to study concept and design and was a major contributor to writing the manuscript. KF, KY and OM contributed to study concept and design, and made contributions to revising the manuscript. KI and HS performed clinical examinations and interpreted the patient data. All authors read and approved the final manuscript.

Ethical Declarations

Ethics approval and consent to participate: This study has been approved by the institutional review board (Hyogo Prefectural Amagasaki General Medical Center, ID: 4-58). Written informed consent to participate was obtained from the parents of the patient.

引用文献References

1) Kutsche LM, Van Mierop LHS: Anomalous origin of a pulmonary artery from the ascending aorta: Associated anomalies and pathogenesis. Am J Cardiol 1988; 61: 850–856

2) Penkoske PA, Castañeda AR, Fyler DC, et al: Origin of pulmonary artery branch from ascending aorta. J Thorac Cardiovasc Surg 1983; 85: 537–545

3) Porter DD, Canent RV, Spach MS, et al: Origin of the right pulmonary artery from the ascending aorta. Circulation 1963; 27: 589–593

4) Mori A, Watarida S, Kinoshita T, et al: Surgical correction of anomalous origin of right pulmonary artery from ascending aorta with left patent ductus arteriosus. J Jpn Soc Pediatr Surg 1988; 24: 908–913 (in Japanese)

5) Kostolny M, Kocyildirim E, de Leval MR, et al: Anomalous origin of the right pulmonary artery from the ascending aorta with fibrous continuity to the pulmonary trunk. Ann Thorac Surg 2005; 80: 1917–1918

6) Ho SY, Gerlis LM, Anderson C, et al: The morphology of aortopulmonary windows with regard to their classification and morphogenesis. Cardiol Young 1994; 4: 146–155

7) Cucci CE, Doyle EF, Lewis EW Jr.: Absence of a primary division of the pulmonary trunk: An ontogenetic theory. Circulation 1964; 29: 124–131

8) Fong LV, Anderson RH, Siewers RD, et al: Anomalous origin of one pulmonary artery from the ascending aorta: A review of echocardiographic, catheter, and morphological features. Heart 1989; 62: 389–395

9) Nathan M, Rimmer D, Piercey G, et al: Early repair of hemitruncus: Excellent early and late outcomes. J Thorac Cardiovasc Surg 2007; 133: 1329–1335

10) Kajihara N, Imoto Y, Sakamoto M, et al: Surgical results of anomalous origin of the right pulmonary from the ascending aorta including reoperation for infrequent complications. Ann Thorac Surg 2008; 85: 1407–1411

11) Prifti E, Crucean A, Bonacchi M, et al: Postoperative outcome in patients with anomalous origin of one pulmonary artery branch from the aorta. Eur J Cardiothorac Surg 2003; 24: 21–27

This page was created on 2024-06-10T12:12:48.35+09:00
This page was last modified on 2024-07-19T15:12:31.000+09:00


このサイトは(株)国際文献社によって運用されています。