Journal of Pediatric Cardiology and Cardiac Surgery

Online ISSN: 2433-1783 Print ISSN: 2433-2720
Japanese Society of Pediatric Cardiology and Cardiac Surgery
Japanese Society of Pediatric Cardiology and Cardiac Surgery Academy Center, 358-5 Yamabuki-cho, Shinju-ku, Tokyo 162-0801, Japan
Journal of Pediatric Cardiology and Cardiac Surgery 8(1): 35-38 (2024)
doi:10.24509/jpccs.23-004

Case ReportCase Report

Neonatal Thrombus in the Left Atrial Appendage That Manifested Mobility with Improvement in Left Ventricular Function

1Department of Pediatric Cardiology, Yokohama City University School of Medicine ◇ Kanagawa, Japan

2Department of Cardiovascular Surgery, Yokohama City University School of Medicine ◇ Kanagawa, Japan

受付日:2023年3月6日Received: March 6, 2023
受理日:2023年7月31日Accepted: July 31, 2023
発行日:2024年2月29日Published: February 29, 2024
HTMLPDFEPUB3

Thrombus formation within the left atrial appendage is extremely rare in neonates. For intracardiac thrombus, anticoagulation therapy is the most common option of treatment. In high-risk cases of systemic embolism, however, surgical resection should be considered. We experienced a neonatal case with a left atrial appendage thrombus related to transient left ventricular dysfunction without congenital heart malformation; the definitive etiology of cardiac dysfunction remained unknown. Daily echocardiography revealed that mobility of the thrombus became prominent as the left ventricular systolic function improved. Surgical thrombectomy was performed due to an imminent concern of its embolic risk. We herein report details of the highly suggestive clinical course in our patient.

Key words: thrombus; neonate; atrial appendage; surgical resection; patent foramen ovale

Introduction

Thrombosis within the left atrial appendage is rare in neonates; only a few cases have been reported.1–5) We describe a clinical course of such a patient who had a structurally normal heart and transient left ventricular (LV) dysfunction.

Case Presentation

A 3-day-old female neonate (39 weeks gestation and 2,378 g birth weight) was referred to our institution due to LV dysfunction. Her Apgar score was 8 at 1 min and 8 at 5 min. She was initially admitted to a neonatal intensive care unit for a postnatal respiratory disorder, and echocardiography revealed LV dysfunction. Blood tests showed high levels of creatine kinase (CK: 1,056 IU/L) and lactate dehydrogenase (LDH: 1,221 IU/L), indicating intense stress during delivery. Respiratory status was stabilized with a high-flow nasal cannula, while LV dysfunction did not improve. She was eventually transferred to our hospital for further examination of her cardiac dysfunction.

On arrival, her vital signs were stable (heart rate 150 beats/min, blood pressure 63/44 mmHg, respiratory rate 45 breaths/min, temperature 37.1°C, oxygen saturation 98%). Chest radiography showed cardiac enlargement with a cardiothoracic ratio of 57%. The electrocardiogram showed sinus rhythm with a pattern of right ventricular hypertrophy. Echocardiography illustrated no congenital structural malformation or coronary arterial abnormality.

LV ejection fraction was down to 40% with moderate mitral regurgitation, whereas RV contractility was preserved. The biventricular volumes seemed well-balanced, and the LV end-diastolic diameter (15.9 mm) was within the normal range. Systolic RV pressure was estimated as 70 mmHg by regurgitation flow across the tricuspid valve (velocity 4.1 m/s), indicating persistent pulmonary hypertension. The ductus arteriosus had already closed. The foramen ovale (FO) was patent with very little blood flow through (Fig. 1A). The left atrium (LA) was dilated and non-contractile (Fig. 1B, Supplementary Video S1). Echocardiography showed a highly echogenic mass measuring 10×5 mm in the LA appendage, which was not mobile. The mass was suspected to be a thrombus (Fig. 1C, Supplementary Video S2). Blood tests indicated a high B-type natriuretic peptide (BNP) level (1,102.8 pg/mL) and a mildly elevated D-dimer level (2.27 µg/mL). There was no decrease in platelet count (279×103 /µL) or increase in clotting time (prothrombin time/international normalized ratio: 1.05, activated partial thromboplastin clotting time [APTT]: 29.9 s). The levels of fibrinogen (326 mg/dL), antithrombin-III (65%), protein C (35%), and protein S (68%) were within normal limits for neonates. There was no maternal history of systemic lupus erythematosus or antiphospholipid antibody syndrome, which could have affected neonatal formation of intracardiac thrombi.

Journal of Pediatric Cardiology and Cardiac Surgery 8(1): 35-38 (2024)

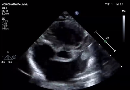
Fig. 1 Echocardiographic findings

(A) Echocardiography at the time of admission (subcostal view) showed only a small slit-like blood flow across the foramen ovale. (B) Echocardiography on admission (four-chamber view) showed a dilated left atrium with an end-systolic volume of 4.0 mL. The left ventricular end-diastolic diameter was normal (15.9 mm). The left ventricular contraction was mildly reduced, with an ejection fraction of 40%. (C) Echocardiography on admission (short axis view) showed a highly echogenic and non-mobile mass (white *) of 10 mm ×5 mm in the left atrial appendage. (D) Echocardiography on day 9 showed improvement in left ventricular contractility. Atrial size had become normal, with a left atrial end-systolic volume of 2.1 mL. LA, left atrium; RA, right atrium.

We administered diuretics as well as continuous infusion of olprinone and unfractionated heparin. Continuous infusion of heparin was started at 10 U/kg/hr and gradually increased to 20 U/kg/hr, but the APTT was only slightly prolonged to 36.0 seconds on day 9. Daily echocardiography showed gradual improvement in LV function. Olprinone and diuretics were discontinued by day 9, because the LV ejection fraction improved to 65% and the LA size normalized (Fig. 1D, Supplementary Video S3). Marked mobility of the mass appeared in parallel with the restoration of LA contractility on day 10 (Supplementary Video S4). We performed a surgical thrombectomy on cardiopulmonary bypass so as to avoid systemic embolism. A white structure adhering to the LA appendage was excised (Fig. 2A), and pathological diagnosis was a calcified thrombus (Fig. 2B). The postoperative course was uneventful. Low-dose aspirin was started on the 3rd postoperative day. The patient was followed up on an outpatient basis, and aspirin was discontinued at 4 months postoperatively. At the time of this publication, the patient is 2 years old, and she has experienced no recurrent clots or embolic episode thus far.

Journal of Pediatric Cardiology and Cardiac Surgery 8(1): 35-38 (2024)

Fig. 2 Intraoperative and pathological findings of thrombus

(A) An operative view: A white organized thrombus (white *), 9 mm ×3 mm in size and adherent to the left atrial appendage, was removed. Thrombectomy was performed via a median sternotomy and a trans-septal approach on cardiopulmonary bypass. (B) Pathological images: Representative hematoxylin-eosin-stained specimen. A fibrin clot with calcification was identified (the dashed-line circle indicates calcification).

Informed consent was obtained from the patient’s guardian for the publication of this case study.

Discussion

Intracardiac thrombus is rare in neonates, and most reports are related to intravascular placement of a catheter, which causes thrombus formation in the right heart.1, 6) There are few reports of thrombosis within the LA appendage in neonates; the circumstance is relatively common in adults and often associated with atrial fibrillation and cardiomyopathy. Decreased cardiac output and congested blood flow in the LA could occur in any of neonatal cases. Their etiologies vary widely. Al Dhahri et al.1) and Abid et al.2) reported cases of coarctation of the aorta with their LA enlarged. Russo et al.3) reported a left atrial appendage thrombus complicating sustained supraventricular tachycardia. Also, Rohit et al.4) reported a case of septic shock in a preterm and very low-birth-weight infant. Fujiwara et al.5) reported a case with a dilated LV and LA, which was suspected in association with fetal LV dysfunction. In our present case, LV dysfunction with the dilated and stunned LA also suggested the presence of blood stagnation within the LA.

A definite etiology of transient cardiac dysfunction remained unknown; we consider a couple of potential causes. The first is transient myocardial ischemia caused by hypoxia and acidosis due to perinatal distress, which leads to impaired cardiac function and worsened circulatory dynamics after birth. This patient had several risk factors for neonatal myocardial injury, as previously reported, namely postnatal respiratory distress as well as elevated CK and LDH.7) The second possible cause is an intrauterine premature restriction of the FO (PRFO). We were unable to make a definitive diagnosis for this, because there were no records of fetal echocardiography. Postnatal echocardiographic findings suggestive of PRFO include persistent pulmonary hypertension, enlargement and dysfunction of the RV, and poor progress of the LV. In this scenario, findings of persistent pulmonary hypertension beyond 60 hr after birth and minimal inter-atrial shunting were consistent with PRFO findings. Unlike a typical case, her biventricular volumes were balanced. Still, it has been reported that PRFO varies widely in terms of ventricular size and function. Uzun et al.8) surveyed clinical characteristics of restrictive fetal FO in a structurally normal heart, and postnatal LV dysfunction was found in 3 out of 21 cases.

Treatment of an intracardiac thrombus in children includes anticoagulation (low molecular weight heparin, unfractionated heparin, warfarin), fibrinolysis (tissue plasminogen activator), and surgical resection.6, 9) Although surgical resection is a rare occasion, it should be considered appropriate when the thrombus is in the left heart and the risk of systemic embolism is high,6) as was the case in our patient. Size and shape are also important factors when investigating intracardiac thrombi. Thrombi that are large, pedunculated, and mobile may be more prone to embolization.6, 10, 11) In the present patient, the thrombus was not mobile on admission, but mobility became pronounced with improved LV function (Supplementary Video S4). Therefore, we decided to carry out surgical option. Daily echocardiography helped detect the increased risk of embolism and indicated the optimal timing for surgery.

In conclusion, we reported a neonatal patient with a thrombus in the left atrial appendage associated with transient LV dysfunction. Even without congenital heart disease, neonates with impaired left heart function are at risk of developing thrombi in the LA appendage. Serial echocardiography helped assess the indications for surgical thrombectomy.

Financial Support

This research received no specific grants from any funding agency or commercial or not-for-profit sectors.

Conflicts of Interest

The authors declare no conflict of interest.

Ethical Standards

Informed consent was obtained from the patient’s guardian for the publication of this case study.

Author’s Contribution

TY, YN, and KS contributed to the conception of the study and drafted the initial manuscript. TW and SW reviewed the manuscript and provided conceptual advice. MG and DM were involved in the patient’s treatment and reviewed the manuscript. All authors have read and approved the final manuscript.

Note

Supplementary movies are provided online for this article.

Journal of Pediatric Cardiology and Cardiac Surgery 8(1): 35-38 (2024)

Supplementary movie. 1

Journal of Pediatric Cardiology and Cardiac Surgery 8(1): 35-38 (2024)

Supplementary movie. 2

Journal of Pediatric Cardiology and Cardiac Surgery 8(1): 35-38 (2024)

Supplementary movie. 3

Journal of Pediatric Cardiology and Cardiac Surgery 8(1): 35-38 (2024)

Supplementary movie. 4

引用文献References

1) Al Dhahri KN, Sandor GG, Duncan WJ: Intra-atrial thrombus in a neonate with coarctation of the aorta. Cardiol Young 2006; 16: 392–394

2) Abid D, Ben Ameur S, Ly M, et al: Unusual intraatrial thrombus in a neonate with coarctation of the aorta. Arch Pediatr 2014; 21: 995–997

3) Russo G, Trappan A, Benettoni A: Unusual left atrial appendage thrombus in a neonate with normal heart after sustained supraventricular tachycardia. Int J Cardiol 2008; 131: e17–e19

4) Aswani R, Werthammer J, Shrestha P, et al: Left atrial appendage thrombus in a preterm neonate in sinus rhythm with septic shock. Pediatr Cardiol 2010; 31: 1116–1117

5) Fujiwara K, Yoshizawa K, Sakazaki H: Thrombus in the left atrial appendage: A case report of neonate. Cardiol Young 2015; 25: 560–562

6) Cetin I, Ekici F, Ünal S, et al: Intracardiac thrombus in children: The fine equilibrium between the risk and the benefit. Pediatr Hematol Oncol 2014; 31: 481–487

7) Barberi I, Calabrò MP, Cordaro S, et al: Myocardial ischaemia in neonates with perinatal asphyxia: Electrocardiographic, echocardiographic and enzymatic correlations. Eur J Pediatr 1999; 158: 742–747

8) Uzun O, Babaoglu K, Ayhan YI, et al: Diagnostic ultrasound features and outcome of restrictive foramen ovale in fetuses with structurally normal hearts. Pediatr Cardiol 2014; 35: 943–952

9) Monagle P, Chan AKC, Goldenberg NA, et al: Antithrombotic therapy in neonates and children: Antithrombotic Therapy and Prevention of Thrombosis, 9th ed: American College of Chest Physicians Evidence-Based Clinical Practice Guidelines. Chest 2012; 141 Suppl: e737S–e801S

10) John JB, Cron SG, Kung GC, et al: Intracardiac thrombi in pediatric patients: Presentation profiles and clinical outcomes. Pediatr Cardiol 2007; 28: 213–220

11) Yang JY, Williams S, Brandão LR, et al: Neonatal and childhood right atrial thrombosis: Recognition and a risk-stratified treatment approach. Blood Coagul Fibrinolysis 2010; 21: 301–307

This page was created on 2024-01-16T15:49:05.49+09:00
This page was last modified on 2024-02-27T11:41:41.000+09:00


このサイトは(株)国際文献社によって運用されています。