Journal of Pediatric Cardiology and Cardiac Surgery

Online ISSN: 2433-1783 Print ISSN: 2433-2720
Japanese Society of Pediatric Cardiology and Cardiac Surgery
Japanese Society of Pediatric Cardiology and Cardiac Surgery Academy Center, 358-5 Yamabuki-cho, Shinju-ku, Tokyo 162-0801, Japan
Journal of Pediatric Cardiology and Cardiac Surgery 7(1): 49-51 (2023)
doi:10.24509/jpccs.22-008

Images in Pediatric and Congenital Heart DiseaseImages in Pediatric and Congenital Heart Disease

Distal Aorto-Pulmonary Window with Type 2a Left Pulmonary Artery Sling: A Rare Association

1Radiology Department Hospital Sultanah Aminah ◇ Johor Bahru, Malaysia

2Paediatric Department Hospital Sultanah Aminah ◇ Johor Bahru, Malaysia

受付日:2022年4月14日Received: April 14, 2022
受理日:2022年6月29日Accepted: June 29, 2022
発行日:2023年3月31日Published: March 31, 2023
HTMLPDFEPUB3

Key words: aortopulmonary window; congenital septal defect; pulmonary artery sling; imaging; echocardiography; computed tomography; magnetic resonance

Aortopulmonary (AP) window is a communication between the main pulmonary artery (PA) and the ascending aorta (AscAo) in the presence of two separate semilunar valves. Mori et al.1) classified this rare subtype of congenital septal defect into three types; type I is a proximal defect located just above the sinus of Valsalva, type II a distal defect at the upper portion of the AscAo, whilst type III a large defect involving the majority of the AscAo, the mian PA and the right PA. AP window is extremely rare, accounting for 0.1–0.6% of congenital cardiac malformations. Though it may occur as an isolated lesion, it is more likely associated with other cardiac lesions.2, 3) These include atrial septal defect, persistent ductus arteriosus and interrupted aortic arch. In rarer occasions, AP window has also been documented associating with coronary arterial abnomality, bicuspid aortic valve, pulmonary atresia, subaortic membrane, solitary left superior vena cava (SVC), or aberrant right subclavian artery.3)

There has only been a couple of reported cases of AP window associated with left PA sling. Neither of them was associated with abnormal branching of the bronchi, ventricular septal defect (VSD), and bilateral SVCs.

AP window is treated by surgical closure of the defect. Precise preoperative imaging is essential to recognise the type and the location of the defect. In addition to conventional 2D-echocardiography (2D-Echo), computed tomography (CT) and magnetic resonance imaging (MRI) are of critical importance nowadays to demonstrate associated malformations prior to surgery.

Case

A full-term baby (male, birth weight 3.1 kg) was admitted with signs and symptoms of heart failure, but without cyanosis, at 10 days of life. His pulse oximeter indicated 96% on room air with respiratory rate 56/min, heart rate 147/min, blood pressure 69/35 mmHg. Chest X-ray showed plethoric lung fields and cardiomegaly (Fig. 1). Oxygen was given 1 L/min via a nasal cannula. Frusemide and spironolactone are started. His hemoglobin was 20.0 g/dL, hematocrit 58%, total white blood cells 13,600 µ/L, platelets 181,000 µ/L, CRP 0.1 mg/L, with normal renal function (urea 4.6 mmol/L, Na 133 mmol/L, K 4.5 mmol/L, Cl 95 mmol/L, Ca 2.35 mmol/L). An urgent 2D-Echo showed a large VSD, AP window (Fig. 2) and also PA sling suspected. Thoracic CT angiography confirmed Type 2a PA sling with severe tracheal stenosis. The so-called “tracheal bronchus” gave rise to the right upper lobe; its branching being as if at the usually expected location for the carina. The bifurcation to the right lower lobe and the left lung in this patient was present lower down with abnormal orientation (the bronchi more horizontally oriented than usual). The left PA is located at the T6–7 level just above the carina which resulted in distal airway stenosis (Fig. 3). The SVCs were bilateral structures. Lung volumes appeared fair bilaterally. The coronary arterial origins were normal. Cardiac MRI illustrated the right atrium and the right ventricle dilated, and also reconfirmed PA sling of the left PA as well as AP window between the distal AscAo and the right main PA (Supplementary Movie S1).

Journal of Pediatric Cardiology and Cardiac Surgery 7(1): 49-51 (2023)

Fig. 1 Chest X-ray (at 10 days old) shows cardiomegaly. Nasogastric tube in situ.

Journal of Pediatric Cardiology and Cardiac Surgery 7(1): 49-51 (2023)

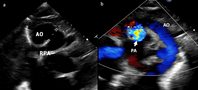
Fig. 2 a: 2D-Echo in a modified suprasternal view showing aortopulmonary window. b: 2D-Echo in a modified suprasternal view with colour Doppler. AO, aorta; PA, pulmonary artery; RPA, right pulmonary artery.

Journal of Pediatric Cardiology and Cardiac Surgery 7(1): 49-51 (2023)

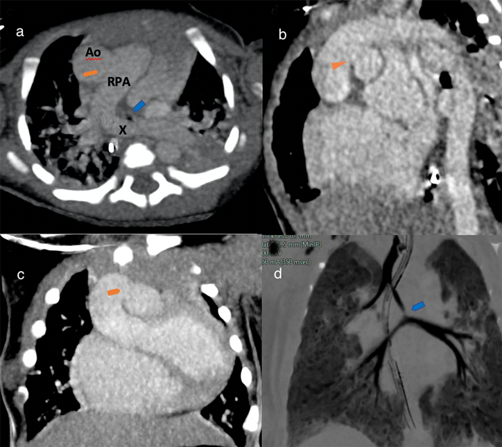
Fig. 3 a: CT angiography of axial oblique multiplanar reconstruction (MPR) with maximum intensity projection (MIP) reconstruction showing a large AP window of a distal type (orange arrow) and the abnormally originating left PA (X) causing focal airway stenosis (blue arrow). b: Sagittal MPR image of the distal AP window (orange arrow head). c: Coronal MPR images of the distal AP window (orange arrow). d: Coronal MPR CT angiography with minimum intensity projection (MinIP) reconstruction in lung window showing anatomy of the bronchial tree; the so-called type 2a PA sling causing focal stenosis (blue arrow) at the airway proximal to the origin of the bridging right bronchus to the right lower lobe.

This patient became more tachypneic (respiratory rate 68/min) at 15 days old with subcostal recession noted. Venous blood gas showed respiratory acidosis (pH 7.464, pCO2 68 mmHg, pO2 39 mmHg, BE 21.4 mmol/L, HCO3 41.7 mmol/L). He was then intubated and ventilated with low setting ventilation. Arterial blood gas post intubation (pH 7.527, pCO2 31.4 mmHg, pO2 101 mmHg, BE 3.1 mmol/L, HCO3 28 mmol/L). He was transferred to a major cardiac center and eventually underwent successful reimplantation of the left PA, VSD closure and repair of AP window at 38 days of age. Currently, he is well on non-invasive bilevel positive airway pressure.

Note

Supplementary movies are provided online for this article.

Journal of Pediatric Cardiology and Cardiac Surgery 7(1): 49-51 (2023)

Supplementary movie

謝辞Acknowledgments

We thank the Director General of Malaysian Ministry of Health for the support of this publication.

Statement of Consent

Parents consented to publication of the images and case presentation.

Conflict of Interests

None of the authors have conflict of interest.

This page was created on 2022-12-12T18:03:52.493+09:00
This page was last modified on 2023-03-13T13:50:39.000+09:00


このサイトは(株)国際文献社によって運用されています。