Journal of Pediatric Cardiology and Cardiac Surgery

Online ISSN: 2433-1783 Print ISSN: 2433-2720
Japanese Society of Pediatric Cardiology and Cardiac Surgery
Japanese Society of Pediatric Cardiology and Cardiac Surgery Academy Center, 358-5 Yamabuki-cho, Shinju-ku, Tokyo 162-0801, Japan
Journal of Pediatric Cardiology and Cardiac Surgery 7(1): 27-30 (2023)
doi:10.24509/jpccs.21-030

Case ReportCase Report

Left Isomerism of the Atrial Appendages with Absent Pulmonary Valve Syndrome and Unbalanced Atrioventricular Septal Defect

1Department of Cardiovascular Surgery, Kyoto University Hospital ◇ Kyoto, Japan

2Department of Pediatrics, Kyoto University Hospital ◇ Kyoto, Japan

受付日:2021年11月13日Received: November 13, 2021
受理日:2022年6月4日Accepted: June 4, 2022
発行日:2023年3月31日Published: March 31, 2023
HTMLPDFEPUB3

A female neonate had left isomerism with absent pulmonary valve syndrome and unbalanced atrioventricular septal defect. She was intubated immediately after birth because of respiratory distress. On day 27, she underwent division of the pulmonary trunk and plication of the dilated pulmonary artery concomitantly with construction of a modified Blalock–Taussig shunt as the first palliation. She passed away due to an unknown cause at 8 months of age while waiting for the second stage surgery. We report this extremely rare combination of congenital heart malformations.

Key words: absent pulmonary valve syndrome; unbalanced atrioventricular septal defect; heterotaxy syndrome

Introduction

Absent pulmonary valve syndrome (APVS) is a rare congenital heart disease, usually associated with tetralogy of Fallot. Patients with this circumstance often present respiratory distress from early infancy due to airway compression by dilated pulmonary arteries (PAs). The syndrome rarely occurs in those with univentricular physiology. We herein describe a rare case of a patient who was diagnosed with left isomerism of the atrial appendages with APVS and unbalanced atrioventricular septal defect (uAVSD).

Clinical Course

A female neonate was born at 38 weeks’ gestation weighing 2.8 kg and diagnosed as APVS, uAVSD with a small left ventricle, and left isomerism with interruption of the inferior vena cava (Fig. 1). She was intubated immediately after birth due to respiratory distress. The PAs are dilated (PA index, 1,354 mm2/m2) compressing the airway. On day 27, she underwent division of the pulmonary trunk, plication of the bilateral PAs, and construction of a modified Blalock–Taussig shunt (a 3.5 mm GORE-TEX© graft). She could not be weaned off cardiopulmonary bypass due to pulmonary hypoperfusion even after revision to a 4-mm shunt; hence, we completed the operation with extracorporeal membranous oxygenation (ECMO) support. On the first postoperative day (POD), her pulmonary perfusion improved, and she was able to come off ECMO successfully. We placed three clips onto the shunt graft to regulate pulmonary blood flow across it; her oxygen saturation was over 90% at that time, suggesting pulmonary overcirculation. The chest was closed on the 9th POD. She was extubated on the 15th POD. Catheter intervention was performed to increase pulmonary blood flow by ballooning out the clips on the 64th POD; by that time, hypoxemia had progressed gradually (Fig. 2). Her oxygen saturation rose from 70% to 89% subsequent to the interventional procedure, while she had a sign of cardiac failure with excessive pulmonary blood flow which necessitated controlled ventilation for a few months. Catheter examination at 6 months of age revealed that her ventricular end-diastolic pressure was 7 mmHg, mean PA pressure 14 mmHg, Qp/Qs 1.54, pulmonary vascular resistance 1.66 U·m2, and cardiac index 3.71 L/min/m2. Her serum brain natriuretic peptide was slightly elevated (102.6 pg/mL) prior to discharge from the hospital. Her body weight gain was acceptable (approximately +13 g/day). Finally, she was discharged home at 7 months of age. The palliation of the second stage was planned around 1 year old. One month later, however, she died of unknown causes despite having been transferred to our institution and received cardiopulmonary resuscitation.

Journal of Pediatric Cardiology and Cardiac Surgery 7(1): 27-30 (2023)

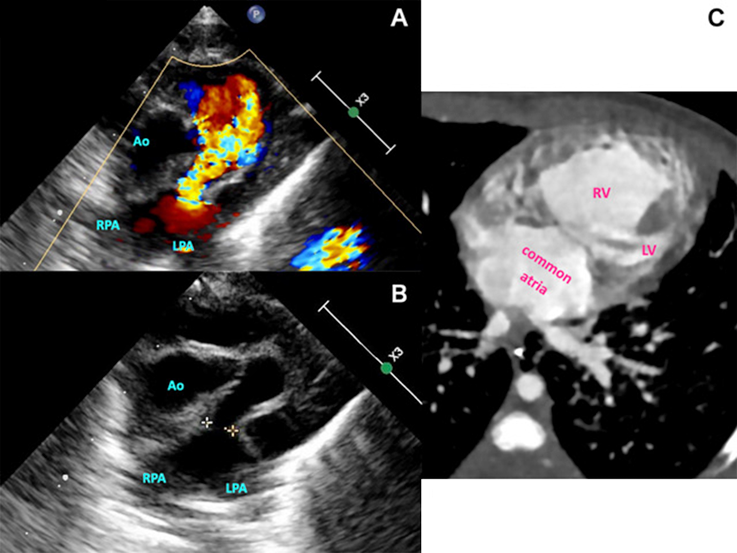
Fig. 1 Echocardiography showing the absence of the pulmonary valve with severe regurgitation (A, B). Computed tomography showing unbalanced atrioventricular septal defect with a small left ventricle and a single atrial cavity (C). Ao, aorta; LPA, left PA; LV, left ventricle; RPA, right PA; RV, right ventricle.

Journal of Pediatric Cardiology and Cardiac Surgery 7(1): 27-30 (2023)

Fig. 2 Computed tomography showing the pulmonary artery (PA) plicated (PA index, 700 mm2/m2) and a modified Blalock–Taussig shunt with three clips (green) attached (A). The airway appears in a fair condition without compression by the pulmonary arteries (B, C).

Discussion

APVS often requires ventilatory support from early infancy because of respiratory distress. Only a few reports described APVS in association with the so-called ‘single ventricle.’1, 2) In these reports, the Fontan circulation was successfully achieved in patients with tricuspid atresia and APVS. The combination of uAVSD and APVS, which was the case this time, has not been reported before.

Prognosis of patients with uAVSD is affected by regurgitation across the atrioventricular valve.3) In our patient, this entity of regurgitation remained mild or less throughout her clinical course. On the other hand, infants with univentricular physiology seem to struggle after undergoing construction of a systemic-to-pulmonary shunt with high interim mortality. Approximately 14% of such palliated babies died after discharge from the hospital4); most of them had unexpected sudden death despite having been well at discharge. This reminds us that the systemic and the pulmonary circulations are insecure when they are parallel in the presence of a systemic-to-pulmonary shunt. As reported by Ota et al.,5) cavopulmonary shunt would better be achieved early to avoid accidental interim mortality related to the shunt-palliated circumstance.

In our patient, the interrupted inferior vena cava with azygos continuation was a factor influencing the timing for the second stage palliation, although her good cardiac function and pulmonary vascular condition were not against early intervention. It is still controversial when to perform superior cavopulmonary shunt (i.e., the Kawashima shunt) in this situation. Bernstein et al. reported that the Kawashima shunt carried a high risk of developing pulmonary arteriovenous malformation soon after.6) In contrast, Loomba described that the complication became evident around 30 months after the operation.7) Once pulmonary arteriovenous malformation develops and severe arterial desaturation progresses, Fontan completion needs to be done, even if body size of the patient is small, by including hepatic venous drainage into the pulmonary circulation. With this concern in mind, we planned superior cavopulmonary shunt around 1 year of age in our patient; hopefully followed by Fontan completion after a short interval. It was unfortunate that we lost the patient while waiting for the second stage surgery. Retrospectively, the optimal timing for the Kawashima shunt could have been at 6 months old, soon after the catheter examination showing her fair cardiopulmonary condition.

In summary, we experienced a very rare combination of congenital heart problems. We do hope our current report would contribute to clinical practice of physicians in the future.

Informed Consent

The parents of the patient provided informed consent prior to participation in this study.

Funding

None.

Conflicts of Interest

None declared.

Note

This manuscript was presented at the case report session of the 34th Annual Meeting of the European Association for Cardio-Thoracic Surgery in 2020.

This page was created on 2022-12-12T13:38:27.943+09:00
This page was last modified on 2023-03-23T14:55:35.000+09:00


このサイトは(株)国際文献社によって運用されています。