Journal of Pediatric Cardiology and Cardiac Surgery

Online ISSN: 2433-1783 Print ISSN: 2433-2720
Japanese Society of Pediatric Cardiology and Cardiac Surgery
Japanese Society of Pediatric Cardiology and Cardiac Surgery Academy Center, 358-5 Yamabuki-cho, Shinju-ku, Tokyo 162-0801, Japan
Journal of Pediatric Cardiology and Cardiac Surgery 6(1): 37-41 (2022)
doi:10.24509/jpccs.21-014

Case ReportCase Report

Multidisciplinary Management of Massive Pulmonary Arterial Thrombosis after Early Complete Repair of Tetralogy of Fallot

1Department of Cardiac, Thoracic and Vascular Sciences, Pediatric and Congenital Cardiac Surgery Unit, University of Padua ◇ Padova, Italy

2Pediatric Cardiology, Department of Woman’s and Child’s Health, University of Padua ◇ Padova, Italy

受付日:2021年5月5日Received: May 5, 2021
受理日:2021年9月22日Accepted: September 22, 2021
発行日:2022年1月31日Published: January 31, 2022
HTMLPDFEPUB3

We present a case of massive pulmonary arterial thrombosis that occurred in an infant, during the early postoperative period after complete surgical repair of a severe form of Tetralogy of Fallot. The patient required emergent circulatory support with veno-arterial extracorporeal membrane oxygenation immediately followed by percutaneous thrombus fragmentation and local thrombolysis, which enabled partial thrombus removal and hemodynamic stabilization. Subsequently, the patient was scheduled for urgent surgical thrombectomy and central pulmonary arterial enlargement plasty, with successive circulatory and clinical improvement. The etiology of this complication was suspected to be multifactorial; multiple surgeries, systemic inflammatory state, hypoplastic pulmonary arteries, and moderate prothrombotic state. A multidisciplinary collaboration between intensivists, cardiologists, and cardiac surgeons and a rationale and step-by-step clinical approach were paramount to face this rare life-threatening complication.

Key words: pulmonary thrombosis; ECMO; thrombectomy; Tetralogy of Fallot

Case Presentation

A 4-month-old infant (weight 5.2 kg, BSA 0.29 m2, oxygen saturation 84%) suffering from Tetralogy of Fallot (TOF), was referred for complete surgical repair at our institution. Diagnosis was made postnatally for development of cyanosis after birth. No comorbidities were present. Echocardiography showed a severe form of TOF with hypoplastic and dysplastic pulmonary valve of 3.5 mm of diameter with minimal anterograde blood flow and hypoplastic pulmonary branches of 2 mm of caliber. Continuous infusion of prostaglandin E was started, but urgent catheterization was needed because of progressive worsening of hypoxemia. A 6 mm stent was inserted in the right ventricular outflow tract (RVOT) (Fig. 1), with subsequent improvement of blood oxygenation, which allowed exstubation and home discharge. At the age of 4 months, the child underwent preoperative catheterization, which demonstrated good positioning of the previous stent, the pulmonary trunk of adequate caliber (10 mm), the right pulmonary artery (PA) of 4.6 mm, the left PA of 5 mm, and absence of severe stenoses in distal pulmonary branches (Fig. 2). Nakata index was 151 mm2/m2. After multidisciplinary evaluation, the patient was scheduled for complete surgical correction. Surgery was carried out on cardiopulmonary bypass (CPB). For RVOT reconstruction, a transannular homograft monocusped valve extended to the main pulmonary artery (MPA) was adopted (due to pulmonary valve entrapment in RVOT stent), the malaligned ventricular septal defect (VSD) was patch closed through a right atrial incision, the foramen ovale was left open. Pulmonary arteries (PAs) were probed and accepted a 5 mm Hegar. No intervention on PAs was performed. Extubation was possible on day 10th after resolution of transient right ventricular (RV) dysfunction due to junctional ectopic tachycardia and acute kidney injury requiring peritoneal dialysis. Postoperative echocardiography showed good reconstruction of MPA, but severe pulmonary regurgitation, and mild hypoplastic distal pulmonary branches. The patient was transferred to the ward on day 13th and maintained on prophylactic unfractionated heparin (UFH) 10 U/kg/h until right jugular central venous line removal on day 15th. The subsequent postoperative course was regular, with improving clinical status and nearly complete normalization of blood exams (see Table 1). On day 24th the patient presented sudden circulatory collapse requiring veno-arterial extracorporeal membrane oxygenation (VA-ECMO). Echocardiography showed severe RV dysfunction and absent blood flow through the right PA. Urgent diagnostic cardiac catheterization showed lack of contrast staining of the right PA suggestive of thrombosis (Fig. 3). Percutaneous thrombus fragmentation with multiple balloon dilations, local thrombolysis (Urokinase 4000 U/kg over 20 min), and aspiration were performed with partial thrombus removal and hemodynamic improvement. Continuous Urokinase infusion was not performed due to recent VA-ECMO cannulation. Following heart-team discussion, the patient was referred for surgical thrombus removal and concomitant central PAs enlargement plasty (Video 1): on CPB, MPA was transected and two thrombi were removed adopting the Fogarty technique (Fig. 4). Neither signs of intimal damage nor macroscopic focal arterial stenoses were noticed. Proximal right and left PAs enlargement plasty with heterologous pericardial patches was carried out (Fig. 5). An additional 3.5 mm opening was performed at the VSD patch. The patient was weaned from VA-ECMO easily in the operating room. Right ventricular function recovered gradually, with left-to-right shunting at the calibrated VSD, and estimated RV pressure equal to half of the systemic. Blood exams showed an isolated moderate increase in factor VIII activity and a slight decrease in factor IX and XI activity (see Table 1). Most frequent prothrombotic genetic polymorphisms were excluded (Leiden V factor and G20210A prothrombin gene mutation) and common inherited severe thrombophilia was ruled out (see Table 1). During hospital stay he was maintained on UFH increased to 20 U/kg/h and discharged home one month later on Warfarin (target INR 2-3) for six months, after hematological consultation. One-month control cardiac magnetic resonance revealed satisfactory PAs reconstruction and no thrombi were detected. Currently, the patient is in good clinical status and he had no relapse of thrombosis after discontinuation of anticoagulation therapy.

Journal of Pediatric Cardiology and Cardiac Surgery 6(1): 37-41 (2022)

Fig. 1 Right ventricular outflow tract stenting at birth

Journal of Pediatric Cardiology and Cardiac Surgery 6(1): 37-41 (2022)

Fig. 2 Preoperative catheterization demonstrating the pulmonary trunk of 10 mm, the right pulmonary artery of 4.6 mm, the left pulmonary artery of 5 mm, and absence of stenoses in distal pulmonary branches

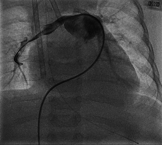
Journal of Pediatric Cardiology and Cardiac Surgery 6(1): 37-41 (2022)

Fig. 3 Urgent diagnostic catheterization showing lack of contrast staining of the right pulmonary artery suggestive of thrombosis

Journal of Pediatric Cardiology and Cardiac Surgery 6(1): 37-41 (2022)

Fig. 4 Thrombus removal with Fogarty technique

Insert: gross specimen of thrombus; RPA and LPA=right and left pulmonary artery; Ao cannula=aortic cannula; * transected aorta.

Journal of Pediatric Cardiology and Cardiac Surgery 6(1): 37-41 (2022)

Fig. 5 Pulmonary arterial augmentation plasty with heterologous pericardial patches

RPA and LPA=right and left pulmonary artery; Ao cannula=aortic cannula; * transected aorta.

Journal of Pediatric Cardiology and Cardiac Surgery 6(1): 37-41 (2022)

Video 1

Table 1 Complete coagulation parameters and prothrombotic genetic polymorphisms screening on postoperative day 41st
Patient’s valueNormal range
Protrombin time (%)55.870.0–100.0
International normalized ratio1.400.88–1.13
Activated partial thromboplastin time (s)9822–32
D-dimer (ng/mL)5710–500
Fibrinogen (g/L)2.071.50–4.50
Factor II activity (%)115.780.0–120.0
Factor VIII activity (%)255.160.0–160.0
Factor IX activity (%)49.280.0–120.0
Factor X activity (%)90.380.0–120.0
Factor XI activity (%)46.880.0–120.0
Antithrombin III activity (%)96.380.0–120.0
Protein C activity (%)72.180.0–120.0
Protein S activity (%)122.970.0–130.0
Protein C antigen (%)13080.0–120.0
Protein S free antigen (%)11480.0–120.0
Leiden V factor mutationAbsentAbsent
G20210A prothrombin gene mutationAbsentAbsent

Discussion

Thrombosis in the pediatric population is rare. However, among children undergoing cardiac surgery, the incidence of postoperative thrombosis has been reported between 3.6 and 11%,1) with a significant impact on morbidity and mortality. Tetralogy of Fallot, as a cyanotic congenital heart disease (CHD), might be at an increased risk of developing thrombosis.1, 2) Cases of life-threatening pulmonary arterial thrombosis after complete early surgical repair of TOF are anecdotal and they are always linked to patient-specific risk factors; malignancy, sepsis, and thrombophilia.3)

In our case, besides the CHD, no preoperative adjunct risk factors were identified. Subsequent hematologic exams revealed a moderate prothrombotic state of uncertain meaning, because of recent multiple major surgeries, extracorporeal circulations, thrombolytic drugs, and transfusions. Since the presence of a central venous line represents the first cause of thrombosis in children,4) prophylactic UFH was used to minimize the risk of central venous catheter (CVC)-driven thrombosis. Furthermore, due to the demanding postoperative course and the prolonged need for intubation, the infusion of UFH served also as prophylaxis against the immobilization of the patient. Although a meta-analysis by Vidal et al. suggested the inefficacy of any prophylactic medical option to prevent CVC-driven thrombosis,5) in our case, because of the relatively long time (10 days) between CVC removal (which could represent a possible source of thrombus embolization) and pulmonary thrombosis, we speculate that this mechanism may not be involved. Thus, the etiology of thrombosis remains unclear. We speculate that the combination of diffuse PAs hypoplasia, the potential endothelial injuries due to PAs manipulation, the systemic inflammatory response, and the potential prothrombotic predisposition may have led to thrombus apposition in the right PA.

The treatment for PAs thrombosis in children is not standardized and current guidelines have low level of evidence.6, 7) Thrombolysis is recommended as first-line therapy in case of hemodynamic compromise, however, current guidelines do not consider special populations as the ones which recently underwent cardiac surgical procedures or under mechanical circulatory support.6) Furthermore, the paucity of studies comparing systemic versus catheter-delivered local administration of thrombolytic drugs does not allow to demonstrate a safety advantage of the second technique in patients at risk of bleeding complications.6) On the other hand, catheter-based mechanical thrombectomy is emerging as an appealing option for PAs thrombosis also in pediatric patients, however, to date, series are very limited8) or are isolated reports9, 10) and often exclude patients with CHDs.8) The role of surgical thrombectomy in the pediatric population remains unclear, because it is often discouraging,7) due to its high operative risk and technical difficulty in smaller patients,11) and reserved mainly for life-threatening thrombosis.12)

Our case represents a unique situation, in which a massive thrombosis occurred after a recent cardiac surgical operation, with a concrete potential of bleeding complications, and it required mechanical circulatory support, thus limiting the pharmacological therapeutic options of thrombolysis and increasing the operative risk of a surgical approach. Therefore, we adopted a combined and staged percutaneous and surgical approach, which finally allowed radical thrombus removal. Particularly, we firstly attempted local thrombolysis to minimize the possible bleeding complications which may occur after major surgical procedures and during ECMO support. Catheter-based balloon fragmentation and aspiration allowed partial thrombus aspiration and its softening, facilitating the subsequent surgical removal. After a multidisciplinary evaluation, the patient was scheduled for a reoperation because the persisting hemodynamic instability requiring continuous ECMO support underlined the presence of a still significant pulmonary thrombus, to inspect the pulmonary arteries directly, and to rule out the presence of any local factor contributing to thrombosis. The intraoperative Fogarty technique demonstrated good feasibility and it was free from complications. Furthermore, we opted for a PAs augmentation plasty, combined with the calibrated VSD and the patent foramen ovale, in order to facilitate the RV unloading during the transient RV dysfunction. This strategy might have contributed to RV recovery by lowering the RV pre and after-load, meanwhile preserving the systemic circulation. In conclusion, this case highlights that: 1) although rare, massive PAs thrombosis could occur after early complete repair of TOF even in infants with none or few predisposing factors. 2) The combination of local pharmacological and mechanical thrombolysis and surgical thrombectomy may be a valuable solution in selected cases. 3) PAs augmentation plasty and surgical calibrated VSD may facilitate RV recovery. More evidence in the pediatric population is needed to establish the optimal treatment options for life-threatening thrombosis.

Funding

No funding was received for conducting this study.

Conflicts of Interest

All authors have no conflicts of interest to disclose.

Ethical Considerations

Since this is a retrospective case report and all the performed procedures were part of the routine care, no ethical approval was needed. Parents’ consent to clinical data and images/videos’ use for scientific purposes (including publication) was obtained, preserving the anonymity of the patient.

Abbreviations

CHD
congenital heart disease
CPB
cardiopulmonary bypass
CVC
central venous catheter
MPA
main pulmonary artery
PA
pulmonary artery
RV
right ventricle
RVOT
right ventricular outflow tract
TOF
Tetralogy of Fallot
UFH
unfractionated heparin
VA-ECMO
veno-arterial extracorporeal membrane oxygenation
VSD
ventricular septal defect

Note

Supplementary movies are provided online for this article.

引用文献References

1) Giglia TM, Massicotte MP, Tweddell JS, et al: Prevention and treatment of thrombosis in pediatric and congenital heart disease: A scientific statement from the American Heart Association. Circulation 2013; 128: 2622–2703

2) Manlhiot C, Menjak IB, Brandão LR, et al: Risk, clinical features, and outcomes of thrombosis associated with pediatric cardiac surgery. Circulation 2011; 124: 1511–1519

3) El Tahlawi M, Assaidi A, Fraisse A: Transcatheter treatment for pulmonary artery occlusion secondary to pulmonary embolism in an infant. Cardiol Young 2014; 24: 729–731

4) Giordano P, Saracco P, Grassi M, et al: Recommendations for the use of long-term central venous catheter (CVC) in children with hemato-oncological disorders: Management of CVC-related occlusion and CVC-related thrombosis. On behalf of the coagulation defects working group and the supportive therapy working group of the Italian Association of Pediatric Hematology and Oncology (AIEOP). Ann Hematol 2015; 94: 1765–1776

5) Vidal E, Sharathkumar A, Glover J, et al: Central venous catheter-related thrombosis and thromboprophylaxis in children: A systematic review and meta-analysis. J Thromb Haemost 2014; 12: 1096–1109

6) Ortel TL, Neumann I, Ageno W, et al: American Society of Hematology 2020 guidelines for management of venous thromboembolism: Treatment of deep vein thrombosis and pulmonary embolism. Blood Adv 2020; 4: 4693–4738

7) Bosch A, Albisetti M: Management of venous thromboembolism in children: Current recommendations and therapeutic options. Ther Clin Risk Manag 2020; 16: 673–679

8) Akam-Venkata J, Forbes TJ, Schreiber T, et al: Catheter-directed therapy for acute pulmonary embolism in children. Cardiol Young 2018; 21: 1–7

9) Nicholson GT, Kogon B, Vincent R: AngioJet rheolytic thrombectomy in a neonate with pulmonary artery thrombus. Catheter Cardiovasc Interv 2013; 82: E704–E707

10) Sur JP, Garg RK, Jolly N: Rheolytic percutaneous thrombectomy for acute pulmonary embolism in a pediatric patient. Catheter Cardiovasc Interv 2007; 70: 450–453

11) Eini ZM, Houri S, Cohen I, et al: Massive pulmonary emboli in children: Does fiber-optic-guided embolectomy have a role? Review of the literature and report of two cases. Chest 2013; 143: 544–549

12) Ramiz S, Rajpurkar M: Pulmonary embolism in children. Pediatr Clin North Am 2018; 65: 495–507

This page was created on 2022-01-07T17:08:30.049+09:00
This page was last modified on 2022-01-25T10:58:06.000+09:00


このサイトは(株)国際文献社によって運用されています。