Journal of Pediatric Cardiology and Cardiac Surgery

Online ISSN: 2433-1783 Print ISSN: 2433-2720
Japanese Society of Pediatric Cardiology and Cardiac Surgery
Japanese Society of Pediatric Cardiology and Cardiac Surgery Academy Center, 358-5 Yamabuki-cho, Shinju-ku, Tokyo 162-0801, Japan
Journal of Pediatric Cardiology and Cardiac Surgery 6(1): 15-20 (2022)
doi:10.24509/jpccs.21-003

Case ReportCase Report

A Successful Delivery in a Patient with Anomalous Origin of the Left Coronary Artery from the Pulmonary Artery Treated with Takeuchi Repair

1Department of Pediatrics, Kyoto Prefectural University of Medicine ◇ Kyoto, Japan

2Department of Cardiovascular Medicine, Kyoto Prefectural University of Medicine ◇ Kyoto, Japan

3Department of Pediatric Cardiovascular Surgery, Kyoto Prefectural University of Medicine ◇ Kyoto, Japan

4Department of Obstetrics and Gynecology, Kyoto Prefectural University of Medicine ◇ Kyoto, Japan

受付日:2021年1月20日Received: January 20, 2021
受理日:2021年7月4日Accepted: July 4, 2021
発行日:2022年1月31日Published: January 31, 2022
HTMLPDFEPUB3

A 30-year-old woman with anomalous origin of the left coronary artery from the pulmonary artery (ALCAPA) treated with Takeuchi repair when she was one-month-old was referred to the obstetric department of our hospital for the management of her first pregnancy. She had a surgical operation for severe pulmonary regurgitation and tricuspid regurgitation one year before the pregnancy. The preoperative study showed a deterioration of right ventricular (RV) function, while presenting good performance of the left ventricle (LV). The cardiac function was found fully recovered through a postoperative study. A multidisciplinary medical team made close observations from the 3rd trimester to after the delivery. A successful vaginal delivery occurred at 39 gestational weeks with a completely healthy baby without any maternal cardiac events. The serum brain natriuretic peptide level did not elevate significantly during the pregnancy. The echocardiography showed that the LV ejection fraction, the LV internal dimension in diastole, and the global longitudinal strain (GLS) of LV remained in normal ranges. No significant valvar insufficiencies or stenoses were found. The GLS of the free wall of RV changed from −19.7% to −10.7% during the delivery and recovered to −23.8% one month after the delivery. Analogously, the fractional area change worsened from 58.3% to 25.4% and returned up to 57.1%. The tolerance of the cardiac load in pregnancy and delivery was ensured by the excellent postoperative course of ALCAPA with Takeuchi repair as well as the successful pulmonary and tricuspid valve reoperation in adulthood with fine assessment of the RV function.

Key words: anomalous origin of the left coronary artery from the pulmonary artery; Takeuchi repair; pregnancy; delivery

Introduction

Anomalous origin of the left coronary artery from the pulmonary artery (ALCAPA) is a rare congenital heart defect occurring once in about 300,000 live births. Most affected patients undergo surgical treatments in their early infanthood due to poor prognosis and high mortality related to the left ventricular (LV) dysfunction.

Takeuchi repair or direct reimplantation of the anomalous ostium of the left coronary artery are necessary to survive in most patients with ALCAPA. Despite an improvement of the LV function after the surgical repair, sequelae of ischemic myocardial damage and pulmonary arterial lesions have been reported in literature.1, 2) We present a successful pregnancy and vaginal delivery of a woman treated with Takeuchi repair for her ALCAPA condition.

Case

A 30-year-old Japanese woman was referred to our obstetric department for the management of labor at 30 weeks of gestation. She was in her first pregnancy and she had been infertile for 7 years for uncertain reasons before the last surgical treatment which took place 1 year before the pregnancy.

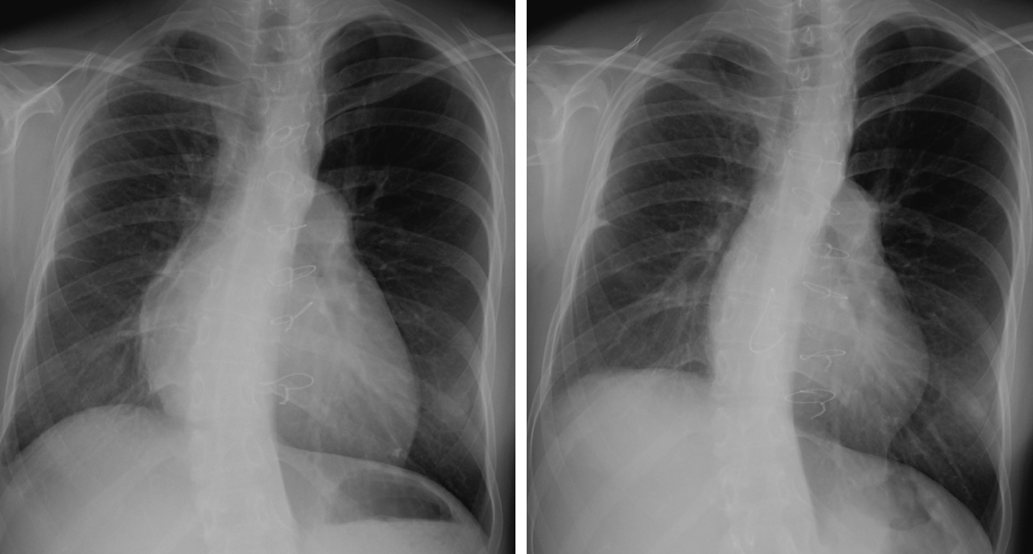
Her clinical record presented the first surgical treatment of ALCAPA using Takeuchi repair when she was one-month-old. She then underwent the following reoperations at the previous hospital: (1) residual coronary shunt closure in the reconstructed root with mitral repair when she was 1 year old; (2) the right pulmonary arterial plasty when she was 2; and (3) residual coronary shunt closure with the right ventricular outflow tract (RVOT) reconstruction using a tissue engineering patch when she was 14. However, a large patch without a leaflet caused severe pulmonary regurgitation (PR) with enlarged RV, resulting in severe tricuspid regurgitation (TR) caused by tricuspid annular dilatation. Six months before the pregnancy, she took another operation in our hospital when she was 29 year old. An expanded polytetrafluoroethylene (ePTFE) valved conduit, 22 mm of internal dimension, was used for PR repair and the Contuor 3D annuloplasty ring (Medtronic, Minneapolis, MN, USA) was applied for TR repair. The overall outcome of the RVOT reconstruction and the tricuspid valve plasty was excellent. The cardiothoracic ratio on chest X-ray was 59% and 50% before and 3 months after the operation, respectively (Fig. 1). Analogously, RV end-diastolic volume index by cardiac magnetic resonance (CMR) imaging improved from 189 mL/m2 to 64.2 mL/m2, and RV end-systolic volume index from 78.3 mL/m2 to 24.6 mL/m2. PR fraction improved from 43.4% to 4.5% (movie 1, 2). Cardiac output index increased from 1.7 L/min/m2 to 3.51 L/min/m2 calculated in CMR through the operation.

Journal of Pediatric Cardiology and Cardiac Surgery 6(1): 15-20 (2022)

Fig. 1 Chest X-ray

The cardiothoracic ratio was 59% (left) and 50% (right) before and 3 months after the operation.

The postoperative medications including warfarin for 3 months and aspirin for 6 months as anticoagulant and antiplatelet therapies after the valve replacement were completed when she got pregnant. While, the preoperative examinations indicated good LV performance and sufficient myocardial blood supply to the coronary arteries. A myocardial perfusion scintigraphy using Technetium-99 m-labeled tetrofosmin did not indicate any significant ischemic changes both at rest and under stress (Fig. 2) with a good LV ejection fraction (LVEF) of 64%. A coronary angiography revealed a smooth blood flow through the Takeuchi route (Fig. 3).

Journal of Pediatric Cardiology and Cardiac Surgery 6(1): 15-20 (2022)

Fig. 2 Stress and rest perfusion imaging

A stress myocardial perfusion scintigraphy using Technetium-99 m-labeled tetrofosmin showed no significant ischemic changes at stress (left) and at rest (right).

Journal of Pediatric Cardiology and Cardiac Surgery 6(1): 15-20 (2022)

Fig. 3 A coronary angiography revealed a smooth blood flow through the Takeuchi route

Left: an ascending aortic angiography. Right: a selective coronary angiography.

The fetal growth was in line with the gestational age and the pregnant course was good. Her first visit to our obstetric department reported vital signs within normal ranges.

The medical team reached the consensus of aiming at painless vaginal delivery based on the patient’s request and with a view to the relief of cardiac stress during the labor.

The patient was presented for induction of labor at 39 weeks with pain control using remifentanil as planned. The vaginal delivery was successful and a healthy male baby weighed 3,062 g was born. The patient did not present any heart attack symptoms during the labor and delivery. The careful monitoring revealed a transient sinus tachycardia up to 140 bpm and systemic hypertension up to 180 mmHg followed by a smooth recovery after the delivery. The patient and the newborn were discharged on the 6th post-delivery day after normal peripartum care in our hospital.

Sequential cardiac assessments including blood examinations, echocardiography using the ACUSON SC2000™ (Siemens, Munich, Germany) ultrasound system and electrocardiography were executed during the pregnancy and for 7 months after the delivery (Table 1). The electrocardiography did not show any significant ischemic changes or arrhythmias in this period. The serum value of brain natriuretic peptide (BNP) was 21.8 pg/mL before the pregnancy and slightly elevated during the pregnancy to 49.6 pg/mL at the 37 weeks of gestational age, followed by an improvement to 25.0 pg/mL 3 days after the delivery. During the observation, The LVEF also kept adequate values around 65% and the left ventricular end-diastolic internal diameter (LVIDd) remained in the normal range, around 45 mm. E-wave velocity, A-wave velocity and E/e’ lateral ratio did not show remarkable changes. No significant insufficiencies or stenoses of atrioventricular valves and arterial valves were detected. The global longitudinal strain of LV (GLS-LV) did not deteriorate during the delivery, staying around −23% and in the normal range till 7 months after the delivery.

Table 1 Parameters of echocardiography and B-type natriuretic peptide
Before the pregnancy1 month before the delivery2 days after the delivery1 month after the delivery3 months after the delivery7 months after the delivery
LVEF (%)536565687958
LVIDd (mm)374347.741.349.944.2
E wave (m/s)1.261.61.441.21.61.2
A wave (m/s)0.590.80.60.50.40.7
E/e’ lateral ratio10.110.211.5118
GLS-LV (%)−19.8−25−25.9−27.4
FAC-RV (%)3058.325.457.160.440.6
TAPSE (mm)17.32023.422.710.7
TDI-S’ wave velocity (mm/s)4.69.87.9586.8
LS-fwRV (%)−19.7−10.7−23.8−30.6−14.8
BNP (pg/mL)21.849.62525.540.9
A wave, mitral inflow A wave; BNP, B-type natriuretic peptide; E wave, mitral inflow E wave; FAC-RV, ractional area change of right ventricle; GLS-LV, global longitudinal strain of left ventricle; LS-fwRV, right ventricular longitudinal strain only from the free wall; LVEF, left ventricular ejection fraction; LVIDd, left ventricular end-diastolic internal diameter; TAPSE, tricuspid annular plane systolic excursion; TDI-S’ wave velocity, tissue doppler imaging-derived tricuspid lateral annular systolic wave velocity.

Fractional area change of RV (FAC-RV), tricuspid annular plane systolic excursion (TAPSE), tissue doppler imaging derived tricuspid lateral annular systolic wave velocity (TDI-S’ wave velocity) and the RV longitudinal strain only from the free wall (LS-fwRV) were used for the estimation of RV function. Monitoring results indicated that FAC-RV (LS-fwRV) deteriorated from 58.3% to 25.4% (−19.7% to −10.7%) across the delivery and recovered to 57.1% (−23.8%) one month after the baby was born. TAPSE stayed within its normal range across the delivery, while TDI-S’ wave velocity deteriorated just after the delivery and did not make a recovery even 3 months after. Although the mother kept good general conditions during the postpartum follow-up for 7 months without presenting any cardiac symptoms, all parameters showed mild deteriorations once again at 7 months after the delivery.

Discussion

Takeuchi repair was first proposed in 1979 as a physiological repair of ALCAPA that creates an aorto-pulmonary window and an intrapulmonary tunnel using a baffle. Although it has been documented that Takeuchi repair may result in high rates of complications and reoperations mainly due to PR, this intervention is still recommended when a direct reimplantation is deemed difficult, e.g., due to an insufficient length of the anomalous coronary or in the presence of unfavorable coronary anatomy for reimplantation procedure.

The Assessment of Pre-Conceptional Cardiac State

The uniqueness of coronary perfusion after Takeuchi repair, and lack of clinical reports on coronary flow reserve after the operation, make it difficult to assess the cardiac tolerance of the repaired heart during pregnancy and delivery.

In our clinical case, exercise scintigraphy and coronary angiography that took place just one year before the pregnancy ensured that good myocardial blood supply via the Takeuchi route was serving good LV function.

Concerning RV function, the preoperative state was severely impaired in this patient. We decided the surgical intervention based on the recommendation for repaired tetralogy of Fallot.3) A postoperative study revealed successful correction of insufficiency of the pulmonary and tricuspid valves, resulting in RV volume reduction. Our team of cardiologists and obstetricians hence expected that, if followed by careful monitoring and properly treated with analgesia, the woman would have a successful vaginal delivery.

Monitoring and Control during the Pregnant Period

The plasma BNP reaches a peak in early postpartum even in normal pregnancy up to 42.5 pg/mL,4) and in our case, it was elevated to 49.6 pg/mL during the full gestation and decreased to the normal range just after the delivery.

The cardiac ejection fraction calculated by echocardiography does not usually change in healthy women during pregnancy,5) and the chamber size increases slightly reflecting a natural augmentation of the serum volume in this period.

Our data records indicate that the LVEF and the LV size were in the normal ranges during the pregnancy and post-delivery.

An absolute GLS-LV value greater than 20% is likely to be normal according to the recommendations of the American Society of Echocardiography.6) The influence of pregnancy and delivery on the GLS-LV in healthy women remains unclear. Ando wrote that the GLS-LV did not change in pregnancy,7) while Savu described that LV segmental longitudinal systolic deformation is subject to a significant decrease in late pregnancy and reaches again the baseline after 3–6 months of delivery.8) Confirming that trend, GLS-LV values of our case were slightly under the normal range one month before the delivery, and improved after the delivery. Savu also reported that the mean reduction of the GLS-LV at the 3rd trimester was within 10% from the baseline. In that respect, the sequential GLS-LV changes in our case were acceptable as a normal pregnancy.

Concerning LV diastolic function, the E/A ratio was kept over 1.0 and the E/e’ ratio did not change during the pregnancy and the delivery as similarly reported by Díaz9) in normal pregnancy.

When considering the parameter changes of RV function during pregnancy, clinical information is less detailed than that on the LV. Díaz described that RV longitudinal strain was the most relevant parameter for RV function assessments in normal pregnant women, which decreased during gestation probably due to a subclinical dysfunction and afterload changes, followed by improvement after delivery even though these changes were kept in normal ranges.9) In our case, the LS-fwRV value reduction was observed in the late pregnancy and recovered one month after the delivery even that the changes were significantly large, over 50% of baseline.

FAC-RV also deteriorated just after the delivery to 25.4%, apparently impaired value, and recovered to over 50% only one month, while Díaz reported FAC showed a small decline during the normal pregnancy within the normal range.9) We assessed that some degree of RV dysfunction might have occurred during the pregnancy because the patient went through the operation of RVOT reconstruction one year before the delivery.

The sequential change of TDI-S’ wave velocity differs from other parameters, showing deterioration just after the delivery until 7 months later. Díaz observed a similar change of S’ velocity in normal pregnancy and hypothesized that respiratory variations could influence Doppler velocity accuracy.

All parameters of RV function paradoxically showed impaired values 7 months after the delivery. A subclinical RV dysfunction after the surgical operation might have been masked due to the rise in endogenous circulating catecholamines during the pregnancy and delivery, which produced a positive inotropic myocardial response, and then unmasked 7 months later according to the postpartum adaptation.

Kier described that women with pediatric-onset coronary arterial anomalies have a risk of adverse cardiovascular events in pregnancy.10) Kanoh also wrote that symptomatic heart failure might occur during pregnancy in patients with ALCAPA treated through coronary arterial reimplantation when they have persistent myocardial damage.11) These reports underlined the importance of careful assessment and follow-up of patients during and after the pregnancy.

To our best knowledge, Caudwell et al.12) is the only case report in English literature of successful pregnancies and deliveries in two women treated for ALCAPA using Takeuchi repair, though, the hemodynamic parameters and its changes during the pregnancy were not detailed. The successful pregnancy and delivery case reported in this document contributes to the literature on ALCAPA condition treated with Takeuchi repair by presenting the first complete record of sequential cardiac assessments, which confirmed that the good coronary perfusion via the Takeuchi route could support the cardiac stress during gestation.

Our experience also highlighted an important role of RV function in pregnancy as well as good LV function, since the woman got pregnant just after the RV repair regardless of having been infertile for a long term before the last operation. Siemund et al. reported subcritical RV dysfunction associated with impaired uteroplacental circulation in early pregnancy,13) supporting that repair of PR and TR might have improved the fertility in our case. We should probably be engaged in the maintenance of RV function especially for pregnant women with congenital heart disease.

The multidisciplinary expertise of our team was a key element to properly treat the presented maternity. Medical support systems like this are deemed to meet the requirements of an increasing population of adult patients with congenital heart disease.

Conflicts of Interest

Keiichi Itatani was an endowed chair of cardiovascular imaging research laboratory, Kyoto Prefectural University of Medicine funded by Medtronic Japan. Keiichi Itatani has stock option of CardioFlowDesign Inc.

Note

Supplementary movies are provided online for this article.

引用文献References

1) Schmitt B, Bauer S, Kutty S, et al: Myocardial perfusion, scarring, and function in anomalous left coronary artery from the pulmonary artery syndrome: A long-term analysis using magnetic resonance imaging. Ann Thorac Surg 2014; 98: 1425–1436

2) Kanoh M, Inai K, Shinohara T, et al: Outcomes from anomalous origin of the left coronary artery from the pulmonary artery repair: Long-term complications in relation to residual myocardial abnormalities. J Cardiol 2017; 70: 498–503

3) Geva T: Indications for pulmonary valve replacement in repaired tetralogy of Fallot: The quest continues. Circulation 2013; 128: 1855–1857

4) Mayama M, Yoshihara M, Uno K, et al: Factors influencing brain natriuretic peptide levels in healthy pregnant women. Int J Cardiol 2017; 228: 749–753

5) Sanghavi M, Rutherford JD: Cardiovascular physiology of pregnancy. Circulation 2014; 130: 1003–1008

6) Lang RM, Badano LP, Mor-Avi V, et al: Recommendations for Cardiac chamber quantification by echocardiography in adults: An update from the American Society of Echocardiography and the European Association of Cardiovascular Imaging. J Am Soc Echocardiogr 2015; 28: 1–39.e14

7) Ando T, Kaur R, Holmes AA, et al: Physiological adaptation of the left ventricle during the second and third trimesters of a healthy pregnancy: A speckle tracking echocardiography study. Am J Cardiovasc Dis 2015; 5: 119–126

8) Savu O, Jurcuţ R, Giuşcă S, et al: Morphological and functional adaptation of the maternal heart during pregnancy. Circ Cardiovasc Imaging 2012; 5: 289–297

9) del Prado Díaz S, de la Calle M, Valbuena-López SC, et al: Does the right ventricle experiment morphologic and functional changes similarly to the left ventricle during pregnancy? Echocardiography 2020; 37: 850–857

10) Keir M, Bhagra C, Vatenmakher D, et al: Paediatric-onset coronary artery anomalies in pregnancy: A single-centre experience and systematic literature review. Cardiol Young 2017; 27: 1529–1537

11) Kanoh M, Inai K, Shinohara T, et al: Pregnancy and delivery outcomes from patients with repaired anomalous origin of the left coronary artery from the pulmonary artery: Pregnancy in repaired ALCAPA. J Obstet Gynaecol Res 2018; 44: 899–906

12) Cauldwell M, Swan L, von Klemperer K, et al: Management of ALCAPA in two pregnancies. Int J Cardiol 2015; 181: 353–354

13) Siegmund AS, Kampman MAM, Oudijk MA, et al: Maternal right ventricular function, uteroplacental circulation in first trimester and pregnancy outcome in women with congenital heart disease. Ultrasound Obstet Gynecol 2019; 54: 359–366

This page was created on 2022-01-06T09:23:31.458+09:00
This page was last modified on 2022-01-26T13:50:34.000+09:00


このサイトは(株)国際文献社によって運用されています。