Journal of Pediatric Cardiology and Cardiac Surgery

Online ISSN: 2433-1783 Print ISSN: 2433-2720
Japanese Society of Pediatric Cardiology and Cardiac Surgery
Japanese Society of Pediatric Cardiology and Cardiac Surgery Academy Center, 358-5 Yamabuki-cho, Shinju-ku, Tokyo 162-0801, Japan
Journal of Pediatric Cardiology and Cardiac Surgery 5(1): 7-11 (2021)
doi:10.24509/jpccs.19-011

Case ReportCase Report

A Case of Atresia of Left Coronary Artery Ostium with Rare Myocardial Scintigraphy Findings

Department of Pediatrics Kindai University School of Medicine ◇ Osaka, Japan

受付日:2019年12月18日Received: December 18, 2019
受理日:2020年7月22日Accepted: July 22, 2020
発行日:2021年3月1日Published: March 1, 2021
HTMLPDFEPUB3

The coronary blood flow in cases of atresia of the left coronary artery ostium is supplied through collateral vessels from the right coronary artery. Therefore, the severity of symptoms depends on the condition of this vessel. We experienced a seven-year-old girl who complained of chest pain during exercise. We performed myocardial scintigraphy using techenetium-99m-tetrofosmin and observed the rare reverse redistribution phenomenon. We suspected myocardial ischemia. We performed coronary angiography and diagnosed her with atresia of the left coronary artery ostium. As there was no stenosis in the coronary artery in this case, the coronary artery was successfully dilated by adenosine loading, thereby increasing the coronary blood flow and thus the blood flow in the myocardium. Our findings may help prevent cardiac accident.

Key words: left coronary artery; atresia; myocardial scintigraphy; reverse redistribution phenomenon; myocardial ischemia

Introduction

Congenital atresia of the left coronary artery ostium closes the origin of the left coronary artery despite the formation of the main trunk of the left coronary artery. Thus, the left coronary blood flow is retrogradely supplied by collateral vessels from the right coronary artery.1) Symptoms include repeated swooning or chest pain during exercise. However, sudden death may also be the first symptom.

We herein report the case of a seven-year-old girl who complained of chest pain on movement with congenital atresia of the left coronary artery ostium. Her myocardial scintigram revealed the rare finding of reverse redistribution phenomenon (reverse redistribution-like findings).

Case

Our female patient was otherwise healthy when encountered, with no history of Kawasaki disease or myocarditis and had no abnormalities in her family history. She was referred to our hospital with a heart murmur when she was two years old. She was diagnosed with moderate mitral regurgitation due to mitral valve prolapse on echocardiography and began taking diuretics. Cardiomegaly improved after starting diuretics. She subsequently presented for outpatient follow-up every three months but never complained of chest pain or shortness of breath. Because of this, we did not suspect coronary artery disease and did not observe the origin of the coronary artery on twice-year echocardiography.

However, at seven years old, she complained of chest pain after climbing a slope on the way to school and was brought to our hospital for an examination.

Her height was 113.9 cm and weight 18.2 kg. No arrhythmia was observed at a heart rate of 75/min. Her blood pressure was 103/79 mmHg, and her respiratory sounds were clear. A Levine II/VI systolic murmur was heard at the apex.

Chest radiograph showed a cardiothoracic ratio of 42%, and a 12-lead electrocardiogram at rest was normal with no ST changes (Fig. 1). Blood tests showed no abnormal findings with a human brain natriuretic peptide (BNP) level of 13.0 pg/mL. Echocardiography findings are shown in Fig. 2. The left ventricular end diastolic diameter was 30.1 mm (84.3% of our normal value), end systole diameter was 19.5 mm with ejection fraction of 70%, and mitral ring annulus diameter 20.9 mm (94.6% of our hospital normal value). The degree of mitral valve regurgitation was moderate according to the Color Doppler method. However, the left atrium/aortic ratio was 1.17, and there was no enlargement of the left atrium.

Journal of Pediatric Cardiology and Cardiac Surgery 5(1): 7-11 (2021)

Fig. 1 Chest radiography and 12-lead electrocardiogram findings

(A) The CTR was 42% with no dilation. Pulmonary angiography findings were normal. (B) The 12-lead electrocardiogram at rest showed a normal range without ST changes.

Journal of Pediatric Cardiology and Cardiac Surgery 5(1): 7-11 (2021)

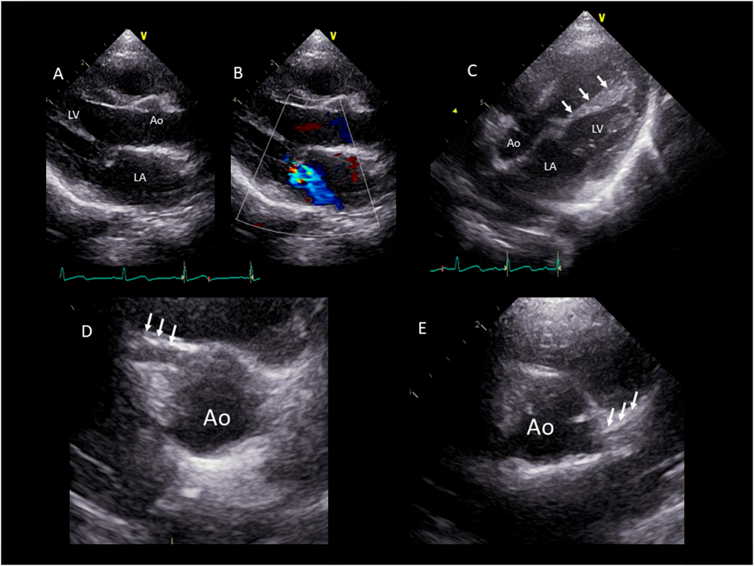
Fig. 2 Echocardiography findings

(A) Long-axis view of the left ventricle. The cause of mitral regurgitation was tethering rather than prolapse. (B) The degree of mitral valve regurgitation was moderate according to the Color Doppler method. (C) Five-chamber view of the left ventricle. The high echogenicity of the left ventricular papillary muscle is visualized. (D) The RCA has an enlarged starting point of 3 mm (Z score: 2.7) (arrow). (E) The left coronary artery is thin (arrow) with an unidentifiable origin. Ao, aorta; LA, left atrium; LV, left ventricle.

Due to the high echogenicity of the left ventricular papillary muscle, we suspected abnormalities in the left coronary artery. The right coronary artery was enlarged to 3 mm (2.7 in Z-score), whereas the left coronary artery was thin with an unidentifiable origin. Therefore, we performed myocardial scintigraphy using techenetium-99m (99mTc)-tetrofosmin perfusion agents with adenosine loading. Immediately after the adenosine loading, she complained of chest pain with negative conversion of T wave on an electrocardiogram. On adenosine loading, the accumulation of 99mTc-tetrofosmin was slightly decreased from the anterior wall to the apex, but at rest, the accumulation at the same site was further reduced (Fig. 3).

Journal of Pediatric Cardiology and Cardiac Surgery 5(1): 7-11 (2021)

Fig. 3 Myocardial scintigraphy using 99mTc-labeled perfusion agents with adenosine loading performed

[Before surgery] (A) Under stress: A mild decrease in the myocardial blood flow from the anterior wall to the apex. (B) At rest: The blood flow is further reduced from the anterior wall to the apex of the heart compared to loaded conditions (arrow). [After surgery] The blood flow from the anterior wall to the apex was clearly improved.

Based on the above findings, we strongly suspected myocardial ischemia. We therefore performed cardiac catheterization and cardiovascular angiography. On left ventricular imaging, the left ventricular end-diastolic volume was 44.4 mL (86% of our normal value), and the ejection fraction was 68.3%. The degree of MR was Sellers II. There was no abnormality in the wall movement. On aortography, the left coronary origin was not detected. On selective right coronary angiography, the left main coronary artery was retrogradely contrasted via collateral circulation (Fig. 4). We diagnosed her with atresia of the left coronary artery ostium based on the results of cardiovascular angiography. Two months later, she underwent bypass surgery with the left internal thoracic artery anastomosed to the left anterior descending coronary artery and mitral valvuloplasty.

Journal of Pediatric Cardiology and Cardiac Surgery 5(1): 7-11 (2021)

Fig. 4 Cardiac catheterization and cardiovascular angiography

(A) Aortography. The left coronary artery origin was not imaged. Collateral circulation from the right coronary artery to the left coronary artery was imaged. (B) Selective right coronary angiography. The left main coronary artery was imaged via the collateral circulation.

After surgery, adenosine-loaded myocardial scintigraphy was performed again. The blood flow had clearly improved from the anterior wall to the apex of the heart (Fig. 3). The chest pain disappeared, so she was able to attend school just like other children.

Discussion

Various symptoms, such as abnormal ECG findings and chest pain, are important for the diagnosis of coronary artery atresia, but some cases have been detected by autopsy findings. In the present case, the first trigger for consultation was mitral regurgitation. The degree of regurgitation was moderate and required the administration of diuretics. Mitral regurgitation based on myocardial ischemia is believed to be caused by dilation of the left ventricle and mitral valve annulus due to myocardial ischemia. In addition, papillary muscle displacement and mitral valve retention are said to exacerbate functional regurgitation. However, in our case, myocardial scintigraphy showed myocardial ischemia, but angiography showed no enlargement of the left ventricle and mitral valve annulus. On the other hand, the intraoperative findings of the mitral valve revealed a cleft in the posterior leaflet and a papillary muscle elongation in the anterior leaflet. The mitral valve annuloplasty was completed by suturing the cleft and attaching the artificial chords to the extended papillary muscles. Given the above intraoperative findings, the mitral regurgitation in our case was likely related to both the morphological abnormality due to cleft and a functional abnormality of the papillary muscle due to myocardial ischemia. Infant mitral regurgitation is a rare condition, but it is necessary to consider not only morphological abnormalities but also myocardial ischemia.

The onset time of atresia of an orifice of the coronary artery varies from infancy to adulthood.1–5) It is speculated that the onset time depends on the degree of development of the collateral circulation. Thus, a well-developed collateral circulation rendered the present case asymptomatic until seven years old. However, at that point, myocardial ischemia symptoms manifested. Since the amount of exercise increased, the blood flow from the collateral circulation became insufficient, which likely caused the myocardial ischemia.

In the present case, at rest, the decreased accumulation of 99mTc-tetrofosmin was strongly noted on myocardial scintigraphy used 99mTc-tetrofosmin agents with adenosine loading. On cardiac myocardial scintigraphy using thallium, there was no or only a slight decrease in the blood flow at the time of loading.

The phenomenon in which a decrease in the blood flow appears or worsens at rest is called the ‘reverse redistribution phenomenon.’ This phenomenon is observed after coronary revascularization and chronic coronary artery disease. An injured myocardium that has recovered its blood flow has a good initial intake of thallium and can absorb it well. However, myocardium that has been damaged is believed to be unable to retain thallium well, which can lead to the acceleration of washout.6) Because thallium has a long half-life, we can see redistribution and reverse redistribution findings; such findings are not noted with 99mTc-tetrofosmin due to its short half-life.

Regarding why reverse redistribution-like findings were observed on myocardial scintigraphy used 99mTc-tetrofosmin perfusion agents with adenosine loading, several hypotheses have been proposed. Since our patient showed no stenosis in the coronary artery, the coronary artery was able to dilate on adenosine loading, thereby increasing the coronary blood flow and thus the blood flow to the myocardium. The site at which the collateral circulation was well developed therefore accumulated a large amount of 99mTc-tetrofosmin due to the expansion of the collateral circulation. However, since the collateral pathway does not increase or expand at rest, the absorption of 99mTc-tetrofosmin decreases.

Conclusion

Myocardial ischemia in children is difficult to detect. However, if ischemia is suspected, as in present case, active examination may be successful. Myocardial scintigraphy is a relatively minimally invasive and useful examination for myocardial ischemia in children.

Funding

The authors have no funding sources relevant to this article to disclose.

Financial Disclosure

The authors have no financial interests relevant to this article to disclose.

Conflicts of Interest

The authors have no conflicts of interest to disclose.

This page was created on 2021-01-20T16:44:50.101+09:00
This page was last modified on 2021-03-23T15:25:07.000+09:00


このサイトは(株)国際文献社によって運用されています。