Journal of Pediatric Cardiology and Cardiac Surgery

Online ISSN: 2433-1783 Print ISSN: 2433-2720
Japanese Society of Pediatric Cardiology and Cardiac Surgery
Japanese Society of Pediatric Cardiology and Cardiac Surgery Academy Center, 358-5 Yamabuki-cho, Shinju-ku, Tokyo 162-0801, Japan
Journal of Pediatric Cardiology and Cardiac Surgery 4(1): 22-28 (2020)
doi:10.24509/jpccs.19-007

Case ReportCase Report

Barth Syndrome with Tafazzin Variants Associated with Left Ventricular Noncompaction Cardiomyopathy Estimating on Layer-Specific Two-Dimensional Speckle Tracking Echocardiography: A Case Report

1Department of Pediatric Cardiology, Chutoen General Medical Center ◇ Shizuoka, Japan

2Department of Pediatric Cardiology, Shizuoka Children’s Hospital ◇ Shizuoka, Japan

3Department of Legal Medicine, Graduate School of Medicine, University of Toyama ◇ Toyama, Japan

4Department of Pediatrics, Graduate School of Medicine, University of Toyama ◇ Toyama, Japan

受付日:2019年11月11日Received: November 11, 2019
受理日:2020年1月28日Accepted: January 28, 2020
発行日:2020年3月1日Published: March 1, 2020
HTMLPDFEPUB3

We diagnosed Barth syndrome with tafazzin (TAZ) variants associated with left ventricular noncompaction cardiomyopathy (LVNC) in a 1-month-old male infant, weighting 3,010 g, born at 40 weeks of gestation. At 14 days of age, the infant presented with cyanosis while crying and was referred to our institution at 1 month of age. Echocardiography revealed that the left ventricular wall was highly trabeculated, with a ratio of noncompacted to compacted myocardium of >2.0 in all segments. At 4 months of age, the patient developed a urinary tract infection and heart failure. Laboratory findings showed neutropenia and an elevated B-type natriuretic peptide level at 207 pg/mL. After admission, he was initially treated with antibiotics, inotropes, and diuretic agents which alleviated the infection and heart failure. Genetic analyses confirmed that the patient and his mother had a TAZ variant, c.461-2A>C, confirming the diagnosis of Barth syndrome. At 2 months of age, the patient showed preserved global circumferential strain but decreased global longitudinal strain on a layer-specific two-dimensional speckle tracking echocardiography. At 9 months of age, both global circumferential and longitudinal strain had decreased, and cardiac rotation showed that both the cardiac base and apex had rotated counterclockwise. The patient died at 12 months of age due to progressive heart failure induced by dilated cardiomyopathy with LVNC. This case suggests the impact of the dilated cardiomyopathy phenotype with LVNC and emphasizes the clinical advantages of estimating cardiac performance using two-dimensional speckle tracking echocardiography in LVNC patients with TAZ variants.

Key words: Barth syndrome; tafazzin; left ventricular noncompaction cardiomyopathy; dilated cardiomyopathy

Background

Barth syndrome (BTHS; OMIM 302060) is a disorder caused by mutations in the TAZ gene at Xq28, which result in a cardiolipin deficiency and abnormal mitochondria.1, 2) Cardiolipin is an important component of the mitochondrial membrane that is necessary for proper membrane stabilization and optimal function of processes such as apoptosis and respiratory chain function. TAZ mutations in BTHS result in abnormal cardiolipin remodeling, which results in mitochondrial structural abnormalities.3)

Although left ventricular (LV) noncompaction cardiomyopathy (LVNC) is frequently described in BTHS, heart failure (HF) is the leading cause of death in such patients. Diagnosis is primarily based on echocardiography findings; several criteria have been proposed, but the Jenni criteria are the most accepted.4) However, the clinical and echocardiography features of LVNC with TAZ variants in children are poorly understood. In the present case, we diagnosed BTHS with TAZ variants associated with LVNC in a 1-month-old male infant.

Patient Clinical Course

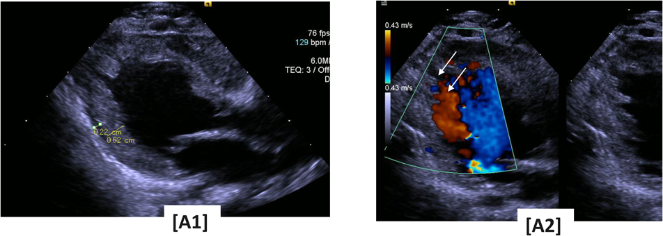
At 14 days of age, the infant presented with cyanosis while crying and was referred to our institution at 1 month of age. The patient was born to a 27-year-old healthy mother at term (40 weeks of gestation) and had a birth weight of 3,010 g. On physical examination, his weight was 3,200 g, which indicated poor weight gain, a likely reason for his poor sucking effort. His heart rate was measured at 120 bpm. Physical findings were significant for a II/VI systolic pansystolic murmur, with third sound and a 1-cm liver edge palpable on the right side. Initial blood evaluation revealed an elevated B-type natriuretic peptide (BNP) level (331.7 pg/mL). Electrocardiography revealed high R voltage from V4 to V6 and confirmed the LV hypertrophy. Two-dimensional (2D) echocardiography revealed the two-layer structure of the noncompacted (N) and compacted (C) layers and an N/C ratio of >2.0 at the lateral wall and apex (Fig. 1 (A1)). The Doppler echocardiography revealed that the flow within the deep intertrabecular recesses was in continuity with the LV cavity (Fig.1 (A2)). Moderate mitral valve regurgitation was also observed.

Journal of Pediatric Cardiology and Cardiac Surgery 4(1): 22-28 (2020)

Fig. 1 Two-dimensional echocardiogram

A1: Two-dimensional echocardiogram showing the 2-layer structure of the noncompacted (N) and compacted (C) layers (N/C >2.0). A2: Color Doppler echocardiogram showing flow within the deep intertrabecular recesses (white arrow) in continuity with the left ventricular cavity.

At 2 months of age, the patient’s cardiac function was reevaluated by standard procedures recommended by the American Society of Echocardiography5) and the z-score (http://zscore.chboston.org/Home/About; Table 1). In the evaluation with the M-mode electrocardiography, the z-scores of LV systolic dimension (LVDs), LV diastolic dimension (LVDd), LV posterior wall thickness at diastole (LVPW), compacted layer in LVPW, and LV ejection fraction (LVEF) by 2D biplane Simpson were 6.4, 3.0, 4.0, −3.5, and 54.3%, respectively. We performed 2D speckle tracking (2DST) echocardiography of a myocardial layer-specific strain. 2DST analyses were retrospectively performed using a vendor-specific software (EchoPAC PC version 201, GE Healthcare). Manual tracings of the endocardial border during end-systole in 3 apical views (Fig. 2 (B1), and layer-specific 2DST of 2 chambers in the long-axis view) and at 3 levels of the short-axis views (Fig. 2 (B2), the layer-specific 2DST of the papillary muscle levels to short-axis view) were performed to measure the global longitudinal strain (GLS) and global circumferential strain (GCS). The software determined strain values at transmural (not mid-wall) and endocardial locations, epicardial strain, and the ratio of endocardial longitudinal (circumferential) strain at end-systole (GL(C)S) to epicardial GL(C)S. The patients endocardial, transmural, and epicardial GLS at 2 chambers were −11.6%, −9.1%, and −7.2%, respectively, while his endocardial, transmural, and epicardial GCS values at the middle levels were −15.7%, −8.8%, and −4.6%, respectively. We administered diuretic medications (furosemide 3 mg/kg/day and spironolactone 1 mg/kg/day) and a beta-blocker (carvedilol: initial dose, 0.05 mg/kg/day; target dose, 0.2 mg/kg/day) for HF. Cardiac magnetic resonance imaging performed at 3 months of age confirmed the characteristic features of numerous trabeculations and deep intertrabecular recesses at the apex of the LV. No delayed enhancement was observed. The LV volume was examined with cardiac magnetic resonance imaging using the z-score (http://www.parameterz.com/cmr/jcmr09). The Left ventricular end diastolic volume (LVEDV) was 16.6 mL with a z-score of 1.47, the Left ventricular stroke volume (LVESV) was 8.4 mL with a z-score of 2.75, and LVEF was 49.5%. The cardiac catheterization findings at 4 months of age demonstrated enlargement of the LV and right ventricles. No evidence of pulmonary hypertension was found, and the wedge pressure was approximately 9 mmHg. In addition, at 4 months of age, the patient developed a urinary tract infection, which improved with antibiotic treatment. The minimum neutrophil count was 168 of the white blood cell count, 3% of total white blood cell, when he was 5 months old. We performed a genetic analysis and confirmed the presence of the TAZ variant c.461-2A>C in both the infant and the mother when he was 5 months old. The variant is expected to result in the loss of TAZ function but is extremely rare in the population and in silico analysis predicts as pathogenic (Table 2). The mother showed no clinical evidence of cardiomyopathy.

Table 1 Serial change in cardiac functions
2 months9 months
Length (cm)53.268.5
Weight (kg)5.27.8
M-mode
LVDs (z-score)6.48.6
LVDd (z-score)3.06.6
LVPW (z-score)4.015.3
LVPWC (z-score)−3.5−2.7
Other parameters
LVESV (z-score)4.46.8
LVEDV (z-score)3.64.2
LVEF (%)54.328.4
LV E/é11.314.9
N/C ratio2.12.5
Myocardial layer-specific strain using 2DST
GLSGlobal (%)Endocardial GLS−9.0−9.7
Transmural GLS−7.2−7.7
Epicardial GLS−5.9−6.3
Endo /Epi ratio1.51.5
GCSGlobal (%)
Base (%)Endocardial GCS−9.2−7.3
Transmural GCS−5.0−4.7
Epicardial GCS−3.4−3.2
Endo /Epi ratio2.72.3
Middle (%)Endocardial GCS−15.7−8.1
Transmural GCS−8.8−4.6
Epicardial GCS)−4.6−3.0
Endo /Epi ratio3.42.7
Apex (%)Endocardial GCS−18.5−8.5
Transmural GCS−8.5−3.9
Epicardial GCS)−3.2−3.2
Endo /Epi ratio5.82.7
Abbreviations: LVDd; left ventricular diastolic dimension, LVDs; left ventricular systolic dimension, LVPW; left ventricular posterior wall thickness at diastole, LVPWC; compacted layer in left ventricular posterior wall at diastole, LVESV; left ventricular systolic volume, LVEDV; left ventricular diastolic volume, LVEF; left ventricular ejection fraction by 2D Biplane Simpson, LV E/é; left ventricular inflow E wave/ tissue Doppler Imaging of lateral mitral annulus, é wave, N/C ratio; ratio of noncompacted layer to compacted layer, 2DST; two-dimensional speckle tracking echocardiography, GLS; global longitudinal strain, GCS; global circumferential strain.
Journal of Pediatric Cardiology and Cardiac Surgery 4(1): 22-28 (2020)

Fig. 2 2D speckle tracking analysis

B1: Three layers of global longitudinal strain (GLS) in the left ventricular 2-chamber view. B2: Three layers of global circumferential strain (GCS) at the left ventricular short axis at the papillary muscle level. B3: A retrospective analysis of cardiac rotation. The heart rotation was normal with the cardiac base rotating counterclockwise, but the cardiac apex rotates in the clockwise direction. The cyan-colored line is the cardiac apex rotation and the purple-colored line is the cardiac base rotation. Both parts rotate counterclockwise, the so-called reverse apical rotation (RAR), with abnormal rotation of the cardiac apex in the same direction. The white line indicates the degree of twist angle between the cardiac apex and the base.

Table 2 Variant identified in the patient
cDNA changeProtein changedb SNPgnomAD (All Individuals) (%)gnomAD (East Asian) (%)HGVD (%)CADD
c.461-2A>C23.2
gnomAD, https://gnomad.broadinstitute.org
HGVD databases, http://www.hgvd.genome.med.kyoto-u.ac.jp
CADD; https://cadd.gs.washington.edu

The infant’s clinical course is shown in Table 1 and Fig. 3. We initially treated the patient with diuretics and carvedilol, which alleviated the HF. However, over time, the HF progressed and could not be adequately controlled. An ACE inhibitor (enalapril: initial dose, 0.05 mg/kg/day; target dose, 0.2 mg/kg/day) and calcium sensitizer (pimobendan, 0.03 mg/kg/day) were added to his regimen. By 8 months of age, the patient’s condition had stabilized, and he exhibited normal cognitive development. However, by 9 months of age, his cardiothoracic ratio gradually increased; his LVDs, LVDd, LVESV, LVEDV, and LV E/e had increased; his LVEF had decreased; and mitral valve regurgitation gradually developed. In the 2DST echocardiography analysis, his endocardial, transmural, and epicardial GCS at the middle levels were decreased to −8.1%, −4.6%, and −3.0, respectively, as compared with the data at 2 months of age. The HF showed clinical signs of progression. Moreover, retrospective analysis of cardiac rotation revealed normal heart rotation, counterclockwise rotation of the cardiac base, and clockwise rotation of the cardiac apex. His cardiac rotation indicated that the cardiac base and apex had rotated in the counterclockwise direction, the so-called reverse apical rotation (RAR), with abnormal rotation of the cardiac apex in the same direction (Fig. 2 (B1), (B3)). At 12 months of age, the infant died due to progressive HF induced by dilated cardiomyopathy (DCM) with LVNC. At postmortem, he was diagnosed with BTHS with LVNC and neutropenia. However, we could not confirm the growth delay and skeletal myopathy and did not examine urinary excretion for 3-methylglutaconic acid. Informed consent was obtained as inclusion agreements based on the “Japanese Ethical Guidelines for Medical and Health Research Involving Human Subjects.”

Journal of Pediatric Cardiology and Cardiac Surgery 4(1): 22-28 (2020)

Fig. 3 Clinical course

We initially treated patients with diuretic agents and carvedilol, which alleviated the heart failure. By 8 months of age, the patient’s condition had stabilized and he exhibited normal cognitive development. However, at 9 months, his cardiothoracic ratio gradually increased; his LVDs, LVDd, LVESV, LVEDV, and LV E/e had increased; his LVEF had decreased; and mitral valve regurgitation gradually developed. However, the dilated cardiomyopathy could not be controlled with carvedilol alone; hence, pimobendan and enalapril were additionally administered. After 8 months of age, his left ventricular diastolic dimension, left ventricular systolic dimension z-score, and B-type natriuretic peptide level had gradually increased. At 12 months of age, he died of progressive heart failure induced by dilated cardiomyopathy with LVNC. Abbreviations: BNP, B-type natriuretic peptide; CDI, color Doppler images; LVDd, left ventricular diastolic dimension; LVDs, left ventricular systolic dimension; LVEF, left ventricular ejection fraction; MR, mitral valve regurgitation.

Discussion

Allelic variants of BTHS were speculated in our case because of the confirmed LVNC and neutropenia. Our case was consistent with a DCM phenotype of LVNC due to TAZ variants, and the patient developed HF with a poor prognosis. BTHS with LVNC often responds well to conventional medical therapy, and the prognosis of most patients is good after 5 years of age in cases where cardiac function recovers during infancy.6) Our patient may have received delayed medical therapy with diuretic and beta-blocker for HF, administered at 2 months of age. If early onset of HF with BTHS is predicted, treatment using multiple medications should be initiated as early as possible. However, in a recent study, patients with the DCM phenotype of LVNC due to TAZ variants had higher mortality rates and more severe cardiac events than those with other phenotypes, with no significant difference in mortality between the TAZ-positive and other DCM phenotype groups.7) Several lines of evidence support the pathogenic role of the novel splicing variant. First, variants were found to segregate with the disease in the patient; the mother was carrier of the TAZ variant. Second, the frame-shift variant was neither present in gnom AD nor HGVD databases (https://gnomad.broadinstitute.org and http://www.hgvd.genome.med.kyoto-u.ac.jp). LVNC patients with TAZ variants have a higher frequency of early onset of disease and poor prognosis. Identification of TAZ variants suggests possible clinical advantages and tailored therapeutic interventions may become available. Therefore, identifying patients who should be observed with greater caution during the early stage of the disease remains a critical issue.

LVNC is a recently defined cardiomyopathy characterized by a pattern of prominent trabecular meshwork and deep intertrabecular recesses.8) Prognosis and clinical features vary between asymptomatic and symptomatic patients and have the potential for progressive myocardial dysfunction. Complications of LVNC include HF, thromboembolic events, arrhythmias, and sudden cardiac death.9) Recently, increasing attention has been focused on the role of 2DST echocardiography in the assessment of patients with LVNC as it may aid in early detection, development of more specific diagnostic criteria, or serial monitoring of patients with subclinical ventricular dysfunction. Studies have demonstrated that strain imaging and strain rate imaging can reveal subclinical impairment in patients with LVNC with preserved ejection fractions and decreased deformation near the apical segments.10) In a recent report,11) among patients with LVNC with preserved LVEF (50%) and without LV dilation (LVEDV z-score <2), the GLS was decreased. The GLS and GCS are decreased in pediatric patients with LVNC in comparison with control subjects. Moreover, among patients with LVNC those with adverse outcomes, poor prognosis, or who required heart transplantation had lower 2DST echocardiography, including GLS and GCS, than patients with benign outcomes and a good clinical course or without the need for heart transplantation. Recently, the proposed new 2D strain software has shown the potential to assess layer-specific strain and introduced the speckle-tracking echocardiogray technology, which allows noninvasive bedside assessment of layer-specific myocardial deformations.12) This new, sensitive indicator is highly effective in detecting cardiac dysfunction in various cardiac diseases, including those in infants.13) In our case, the infant had preserved LVEF and GCS, especially endocardial GCS; however, LV dilatation and the GLS at all layers were decreased. The potential causes of the transmural strain gradient include transmural differences in wall stress, characterized by increases in end-diastolic wall stress toward the endocardium. Therefore, the endocardial fibers are stretched longer than the epicardial fibers during end-diastole, which results in increased fiber shortening in the endocardial layer during systole. An additional explanation for the transmural strain gradient could be differences in coronary perfusion and metabolism between the endocardial and epicardial layers, higher metabolic rates, greater oxygen extraction, and greater coronary flow in the endocardium than in the epicardium.14)

An additional analysis was performed using 2DST echocardiography to determine the rotation mechanism of the LV. The normal twisting motion of the LV during ejection consists of clockwise rotation of the base and counterclockwise rotation of the apex (when viewed from the apex). In some patients with LVNC, the mechanism is characterized by rotation of the apex and base in the same direction, the so-called RAR. Nawaytou et al. reported on the LV rotational mechanism in children with LVNC.15) They stated that RAR occurs in 39% of children with LVNC which may have a prognostic rather than a diagnostic value. They speculated that the causes of RAR are disarray in the midmyocardial fibers and concluded that premature untwisting of the LV during ejection might be an even more worrisome indicator of LV dysfunction. In our case, the patient manifested RAR when he was 9 months old (Fig.2 (B3)). An autopsy was not performed on our patient; hence, we were unable to determine the mechanism underlying the relationship between myocardial coronary flow in the endocardium and the preserved endocardial GCS and even decreased LVEF and GLS; however, we assume that there is a relationship between the directions of the myocardial fibers and RAR and LVNC patients with TAZ variants. Future prospective studies with large patient populations are needed.

In conclusion, this case demonstrates the impact of the DCM phenotype of LVNC and emphasizes the cardiac functions using 2DST echocardiography in LVNC patients with TAZ variants. TAZ gene analysis is effective for BTHS diagnosis, and 2DST echocardiography analysis might be an effective prognosis tool for the DCM phenotype of LVNC with TAZ mutation. Most patients are diagnosed in the first 4 months of life. TAZ-positive patients have significantly earlier disease onset than those with other DCM phenotypes of LVNC. Our case suggests the impact of the DCM phenotype of LVNC.

謝辞Acknowledgments

The authors would like to thank the Department of Pediatric Cardiology of Chutoen General Medical Center and the Department of Pediatric Cardiology of Shizuoka Children’s Hospital for their valuable assistance in the treatment of patients admitted to the pediatric cardiology service.

Funding

Equipment used was provided by Chutoen General Medical Center. This research received no specific grants from any funding agency in the public, commercial, or not-for-profit sectors. Each author listed in the manuscript has read and approved the version of the manuscript submitted and takes full responsibility for the manuscript. If the manuscript is accepted for publication, the disclosure statement may be published. This study has no sponsor.

Conflicts of Interest

The authors of this manuscript do not have any potential, perceived, or real conflicts of interest, including any financial arrangement.

引用文献References

1) Bione S, D’Adamo P, Maestrini E, et al: A novel X-linked gene, G4.5. is responsible for Barth syndrome. Nat Genet 1996; 12: 385–389

2) Johnston J, Kelley RI, Feigenbaum A, et al: Mutation characterization and genotype-phenotype correlation in Barth syndrome. Am J Hum Genet 1997; 61: 1053–1058

3) Schlame M: Cardiolipin synthesis for the assembly of bacterial and mitochondrial membranes. J Lipid Res 2008; 49: 1607–1620

4) Jenni R, Oechslin E, Schneider J, et al: Echocardiographic and pathoanatomical characteristics of isolated left ventricular non-compaction: A step towards classification as a distinct cardiomyopathy. Heart 2001; 96: 666–671

5) Lang RM, Bierig M, Devereux RB, et al: Chamber Quantification Writing Group; American Society of Echocardiography’s Guidelines and Standards Committee; European Association of Echocardiography: Recommendations for chamber quantification: A report from the American Society of Echocardiography’s Guidelines and Standards Committee and the Chamber Quantification Writing Group, developed in conjunction with the European Association of Echocardiography, a branch of the European Society of Cardiology. J Am Soc Echocardiogr 2005; 18: 1440–1463

6) Kang S-L, Forsey J, Dudley D, et al: Clinical characteristics and outcomes of cardiomyopathy in Barth Syndrome: The UK experience. Pediatr Cardiol 2015; 37: 167–176

7) Hirono K, Hata Y, Nakazawa M, et al: Clinical and echocardiographic impact of tafazzin variants on dilated cardiomyopathy phenotype in left ventricular non-compaction patients in early infancy. Circ J 2018; 82: 2609–2618

8) Jenni R, Rojas J, Oechslin E: Isolated noncompaction of the myocardium. N Engl J Med 1999; 340: 966–967

9) Ichida F, Hamamichi Y, Miyawaki T, et al: Clinical features of isolated noncompaction of the ventricular myocardium: Long-term clinical course, hemodynamic properties, and genetic background. J Am Coll Cardiol 1999; 34: 233–240

10) Bellavia D, Michelana HI, Martinez M, et al: Speckle myocardial imaging modalities for early detection of myocardial impairment in isolated left ventricular noncompaction. Heart 2010; 96: 440–447

11) Arunamata A, Stringer J, Balasubramanian S, et al: Cardiac segmental strain analysis in pediatric left ventricular noncompaction cardiomyopathy. J Am Soc Echocardiogr 2019; 32: 763–773.e1

12) Ishizu T, Seo Y, Enomoto Y, et al: Experimental validation of left ventricular transmural strain gradient with echocardiographic two-dimensional speckle tracking imaging. Eur J Echocardiogr 2010; 11: 377–385

13) Iwashima S, Hayano Y, Murakami A, et al: Cardiac function in infants born to mothers with gestational diabetes: Estimation of early diastolic intraventricular pressure differences. Circ Reports 2019; 1: 378–388

14) Nagata Y, Wu VC, Otsuji Y, et al: Normal range of myocardial layer-specific strain using two-dimensional speckle tracking echocardiography. PLoS One 2017; 12: e0180584

15) Nawaytou HM, Montero AE, Yubbu P, et al: A preliminary study of left ventricular rotational mechanics in children with noncompaction cardiomyopathy: Do they influence ventricular function? J Am Soc Echocardiogr 2018; 31: 951–961

This page was created on 2020-02-18T09:25:17.594+09:00
This page was last modified on 2020-03-16T15:56:40.000+09:00


このサイトは(株)国際文献社によって運用されています。